首页
伤感说说
动漫配图
心情说说
抖音文案
伤感图片
伤感说说:
伤感的句子说说心情
空间说说
心情说说
爱情说说
女生伤感说说
人生感悟
心情不好的说说
说说带图片
关于生活的说说
说说心情短语
qq空间说说带图片
个性说说
励志名言
一句话经典语录
感悟人生的经典句子
短句吧
情感故事
抖音文案
伤感图片:
伤感图片带字
非主流伤感图片
唯美伤感图片
女生伤感图片
唯美意境图片
悲伤的图片
唯美意境伤感图片
只有字的伤感图片
说说图片
伤心的图片
美甲图片
图片大全
情感图片
微信头像男
动态壁纸
动漫配图
伤感图片
首页
>
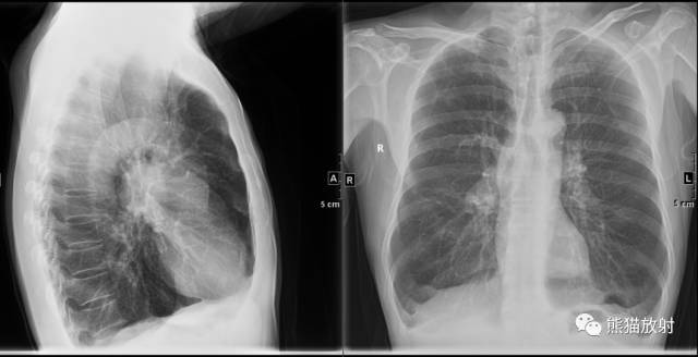
肺气肿x线胸片图解
肺气肿x线胸片图解,
正常胸片 支气管肺炎
x线诊断要点关于肺气肿的一些概念需要熟悉结合ct
胸片检查结果365医学网 转载请注明 肺 3.
胸片上小叶中心型肺气肿常表现为上叶显著的肺透光度增高,肺纹理减少
肺气肿
更多推荐
肺气肿胸片影像
肺气肿的胸片表现