首页
伤感说说
动漫配图
心情说说
抖音文案
伤感图片
伤感说说:
伤感的句子说说心情
空间说说
心情说说
爱情说说
女生伤感说说
人生感悟
心情不好的说说
说说带图片
关于生活的说说
说说心情短语
qq空间说说带图片
个性说说
励志名言
一句话经典语录
感悟人生的经典句子
短句吧
情感故事
抖音文案
伤感图片:
伤感图片带字
非主流伤感图片
唯美伤感图片
女生伤感图片
唯美意境图片
悲伤的图片
唯美意境伤感图片
只有字的伤感图片
说说图片
伤心的图片
美甲图片
图片大全
情感图片
微信头像男
动态壁纸
动漫配图
伤感图片
首页
>
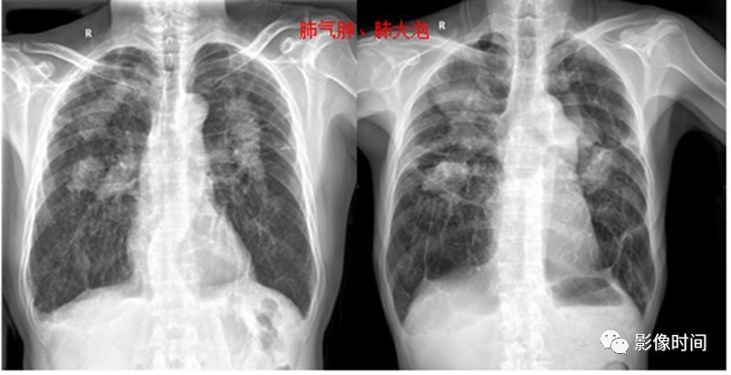
肺气肿x线胸片图解
肺气肿x线胸片图解,
什么是肺气肿?提醒:长期处于这种环境中,患病风险与日俱增
肺气肿的影像诊断
求助喘憋无胸痛症状胸片是立位
小结:目前诊断尘肺病的依据是高千伏胸片,但胸片存在分辨率低,图像
肺功能检查正常,但胸片说可能是肺气肿,请医生看一下胸片是不是肺气肿
更多推荐
肺气肿胸片影像
肺气肿的胸片表现