首页
伤感说说
动漫配图
心情说说
抖音文案
伤感图片
伤感说说:
伤感的句子说说心情
空间说说
心情说说
爱情说说
女生伤感说说
人生感悟
心情不好的说说
说说带图片
关于生活的说说
说说心情短语
qq空间说说带图片
个性说说
励志名言
一句话经典语录
感悟人生的经典句子
短句吧
情感故事
抖音文案
伤感图片:
伤感图片带字
非主流伤感图片
唯美伤感图片
女生伤感图片
唯美意境图片
悲伤的图片
唯美意境伤感图片
只有字的伤感图片
说说图片
伤心的图片
美甲图片
图片大全
情感图片
微信头像男
动态壁纸
动漫配图
伤感图片
首页
>
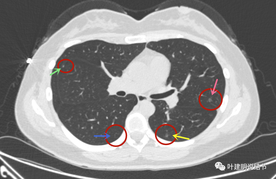
右肺玻璃结节
右肺玻璃结节,
问诊仅30岁的女子两肺多达11处磨玻璃结节该干预
体检发现肺磨玻璃结节不必惊慌,建议胸外科医师随访或微创手术,一般术
单孔胸腔镜治疗多发肺磨玻璃结节
ct发现肺磨玻璃结节怎么办来听听影像医生怎么说
三个月后这个年轻人肺上的磨玻璃结节不见了
更多推荐
右肺上叶粟粒结节
右肺上叶尖端