首页
伤感说说
动漫配图
心情说说
抖音文案
伤感图片
伤感说说:
伤感的句子说说心情
空间说说
心情说说
爱情说说
女生伤感说说
人生感悟
心情不好的说说
说说带图片
关于生活的说说
说说心情短语
qq空间说说带图片
个性说说
励志名言
一句话经典语录
感悟人生的经典句子
短句吧
情感故事
抖音文案
伤感图片:
伤感图片带字
非主流伤感图片
唯美伤感图片
女生伤感图片
唯美意境图片
悲伤的图片
唯美意境伤感图片
只有字的伤感图片
说说图片
伤心的图片
美甲图片
图片大全
情感图片
微信头像男
动态壁纸
动漫配图
伤感图片
首页
>
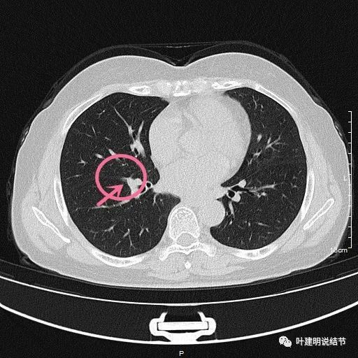
右肺玻璃结节
右肺玻璃结节,
经验积累20211012此消彼长的肺结节会是恶性的吗
19:同为肺磨玻璃结节,一让尽快手术,一让随访不急,玄机在哪?
肺结节读片(18:有些所谓"混杂磨玻璃结节"是假的
体检查出肺多发结节报告示有的是混合磨玻璃结节该赶紧手术吗
中叶另有一次病灶,纯磨玻璃结节,目前甚小,考虑不典型增生或原33
更多推荐
右肺上叶粟粒结节
右肺上叶尖端