首页
伤感说说
动漫配图
心情说说
抖音文案
伤感图片
伤感说说:
伤感的句子说说心情
空间说说
心情说说
爱情说说
女生伤感说说
人生感悟
心情不好的说说
说说带图片
关于生活的说说
说说心情短语
qq空间说说带图片
个性说说
励志名言
一句话经典语录
感悟人生的经典句子
短句吧
情感故事
抖音文案
伤感图片:
伤感图片带字
非主流伤感图片
唯美伤感图片
女生伤感图片
唯美意境图片
悲伤的图片
唯美意境伤感图片
只有字的伤感图片
说说图片
伤心的图片
美甲图片
图片大全
情感图片
微信头像男
动态壁纸
动漫配图
伤感图片
首页
>
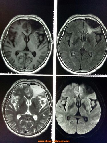
脑白质软化
脑白质软化,脑白质脱髓鞘
发育迟缓康复训练脑瘫早产儿,脑白质软化会是脑瘫吗?
脑白质
软化灶周围高信号考虑什么?
脑白质病变影像诊断
弥散张量成像(dti),主要应用在检测脑白质的发育,成熟及生理性老化
更多推荐
脑白质脱髓鞘
早产儿脑白质软化
脑白质位置
脑白质脱髓鞘改变
脑灰质和脑白质
脑白质脑灰质解剖
脑白质
脑白质和脑灰质图片
脑白质疏松
脑白质病变
脑白质变性
脑白质图片
脑白质病
脑白质解剖
脑灰质和脑白质解剖图
脑软化灶
脑白质高信号
轻度脑白质变性
脑白质解剖图
脑白质缺血性改变
缺血性脑白质病变
脑白质脱髓鞘病变
脑白质脱髓鞘CT
脑白质疏松是什么病
脑软化灶图片
软化灶
软化
软化针
软化头发
软化树脂