首页
伤感说说
动漫配图
心情说说
抖音文案
伤感图片
伤感说说:
伤感的句子说说心情
空间说说
心情说说
爱情说说
女生伤感说说
人生感悟
心情不好的说说
说说带图片
关于生活的说说
说说心情短语
qq空间说说带图片
个性说说
励志名言
一句话经典语录
感悟人生的经典句子
短句吧
情感故事
抖音文案
伤感图片:
伤感图片带字
非主流伤感图片
唯美伤感图片
女生伤感图片
唯美意境图片
悲伤的图片
唯美意境伤感图片
只有字的伤感图片
说说图片
伤心的图片
美甲图片
图片大全
情感图片
微信头像男
动态壁纸
动漫配图
伤感图片
首页
>
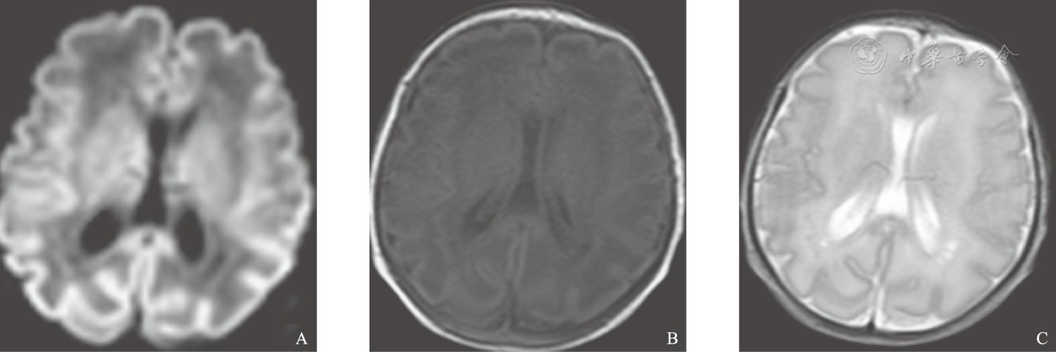
脑白质软化
脑白质软化,脑白质脱髓鞘
脑室周围白质软化早产儿出生早期mri表现及其演变
认识早产儿疾病系列科普脑室旁白质软化
早产宝宝核磁共振检查结果,有脑白质软化,求正能量
儿童脑白质软化症的影像学诊断.pdf 2页
脑白质病变影像诊断
更多推荐
脑白质脱髓鞘
早产儿脑白质软化
脑白质位置
脑白质脱髓鞘改变
脑灰质和脑白质
脑白质脑灰质解剖
脑白质
脑白质和脑灰质图片
脑白质疏松
脑白质病变
脑白质变性
脑白质图片
脑白质病
脑白质解剖
脑灰质和脑白质解剖图
脑软化灶
脑白质高信号
轻度脑白质变性
脑白质解剖图
脑白质缺血性改变
缺血性脑白质病变
脑白质脱髓鞘病变
脑白质脱髓鞘CT
脑白质疏松是什么病
脑软化灶图片
软化灶
软化
软化针
软化头发
软化树脂