首页
伤感说说
动漫配图
心情说说
抖音文案
伤感图片
伤感说说:
伤感的句子说说心情
空间说说
心情说说
爱情说说
女生伤感说说
人生感悟
心情不好的说说
说说带图片
关于生活的说说
说说心情短语
qq空间说说带图片
个性说说
励志名言
一句话经典语录
感悟人生的经典句子
短句吧
情感故事
抖音文案
伤感图片:
伤感图片带字
非主流伤感图片
唯美伤感图片
女生伤感图片
唯美意境图片
悲伤的图片
唯美意境伤感图片
只有字的伤感图片
说说图片
伤心的图片
美甲图片
图片大全
情感图片
微信头像男
动态壁纸
动漫配图
伤感图片
首页
>
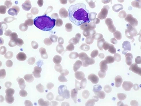
血小板光镜下形态图片
血小板光镜下形态图片,血小板镜下形态图片
图5:血片镜下图,血小板数量不少,但正常形态的不多 图5显示血涂片
微观显微镜下的细胞生物微生物血小板结构
形态学报告中血小板应该如何描述|经验分享
05%,但其产生的血小板却对机体的止血功能极为重要.
1 go对hacat细胞形态的影响 如图 2所示,光镜下观察发现低浓度( 10.
更多推荐
血小板镜下形态图片
血小板油镜下形态图片
血小板显微镜下形态图
血小板光镜图
血小板光镜
正常血小板形态图片
血小板形态图片
血小板光镜结构图
血小板形态
白细胞镜下形态图片
血小板镜检图片
血小板显微镜下图片
血小板手工计数镜下图
血小板计数池镜下图
血小板图片显微镜
血小板图片血浆
电镜下的血小板
血小板的形状图片
红细胞显微镜下形态图
血小板显微镜
血小板细胞
正常血小板图片
血小板
血小板图片
血小板的图片高清
血小板聚集
血小板全身
单核细胞光镜
白细胞形态
血小板真人