首页
伤感说说
动漫配图
心情说说
抖音文案
伤感图片
伤感说说:
伤感的句子说说心情
空间说说
心情说说
爱情说说
女生伤感说说
人生感悟
心情不好的说说
说说带图片
关于生活的说说
说说心情短语
qq空间说说带图片
个性说说
励志名言
一句话经典语录
感悟人生的经典句子
短句吧
情感故事
抖音文案
伤感图片:
伤感图片带字
非主流伤感图片
唯美伤感图片
女生伤感图片
唯美意境图片
悲伤的图片
唯美意境伤感图片
只有字的伤感图片
说说图片
伤心的图片
美甲图片
图片大全
情感图片
微信头像男
动态壁纸
动漫配图
伤感图片
首页
>
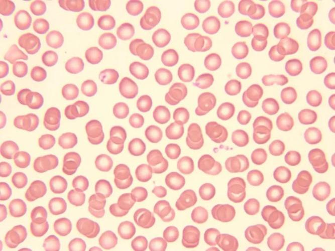
血小板光镜下形态图片
血小板光镜下形态图片,血小板镜下形态图片
形态学报告中血小板应该如何描述|经验分享
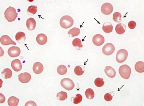
光镜下的海因小体
形态学报告中血小板应该如何描述 | 经验分享
这次的血小板形态正常了,可以断定上次看到的血小板其实是乳糜微粒.
f12 10�s 气相:空气,95%;二氧化碳,5% 温度:37℃ 40x光镜下图片
更多推荐
血小板镜下形态图片
血小板油镜下形态图片
血小板显微镜下形态图
血小板光镜图
血小板光镜
正常血小板形态图片
血小板形态图片
血小板光镜结构图
血小板形态
白细胞镜下形态图片
血小板镜检图片
血小板显微镜下图片
血小板手工计数镜下图
血小板计数池镜下图
血小板图片显微镜
血小板图片血浆
电镜下的血小板
血小板的形状图片
红细胞显微镜下形态图
血小板显微镜
血小板细胞
正常血小板图片
血小板
血小板图片
血小板的图片高清
血小板聚集
血小板全身
单核细胞光镜
白细胞形态
血小板真人