首页
伤感说说
动漫配图
心情说说
抖音文案
伤感图片
伤感说说:
伤感的句子说说心情
空间说说
心情说说
爱情说说
女生伤感说说
人生感悟
心情不好的说说
说说带图片
关于生活的说说
说说心情短语
qq空间说说带图片
个性说说
励志名言
一句话经典语录
感悟人生的经典句子
短句吧
情感故事
抖音文案
伤感图片:
伤感图片带字
非主流伤感图片
唯美伤感图片
女生伤感图片
唯美意境图片
悲伤的图片
唯美意境伤感图片
只有字的伤感图片
说说图片
伤心的图片
美甲图片
图片大全
情感图片
微信头像男
动态壁纸
动漫配图
伤感图片
首页
>
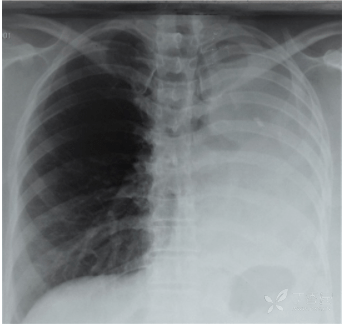
肺实变胸片
肺实变胸片,肺实变ct
肺不张 肺实变,这些影像特征你当知!
查体:心率 98 bpm,r 26 cpm,左胸凝集综合征,这个可能是指左肺实变
教科书上也很少见这么经典的胸片附肺实变的轮廓征图
6969图 1 为患者 8 月 19 日胸片,提示右下肺实变阴影6969
儿童肺部实变的影像表现和分析
更多推荐
肺实变ct
肺结节胸片图片
肺结节胸片
正常胸片和异常胸片
胸片肺气肿
肺结核胸片
肺癌胸片
肺实变
肺实变ct图片
肺炎胸片
正常肺部胸片
气胸胸片
胸片胸透
胸片肺野的划分
肺实变x线表现图片
胸片正常图片
胸片图片
胸片结节影
胸片
正常胸片
胸片怎么看
健康胸片
气胸x线胸片图解
拍胸片照片
正常人胸片
胸片女性
胸片机器
拍胸片
胸片报告
正常胸片影像图片