首页
伤感说说
动漫配图
心情说说
抖音文案
伤感图片
伤感说说:
伤感的句子说说心情
空间说说
心情说说
爱情说说
女生伤感说说
人生感悟
心情不好的说说
说说带图片
关于生活的说说
说说心情短语
qq空间说说带图片
个性说说
励志名言
一句话经典语录
感悟人生的经典句子
短句吧
情感故事
抖音文案
伤感图片:
伤感图片带字
非主流伤感图片
唯美伤感图片
女生伤感图片
唯美意境图片
悲伤的图片
唯美意境伤感图片
只有字的伤感图片
说说图片
伤心的图片
美甲图片
图片大全
情感图片
微信头像男
动态壁纸
动漫配图
伤感图片
首页
>
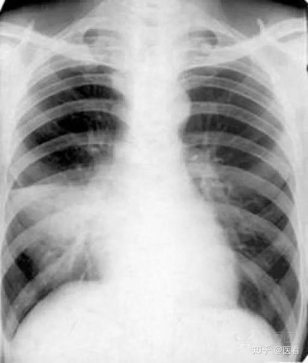
肺实变胸片
肺实变胸片,肺实变ct
教科书上也很少见这么经典的胸片附肺实变的轮廓征图
胸部x线肺部病变一实变
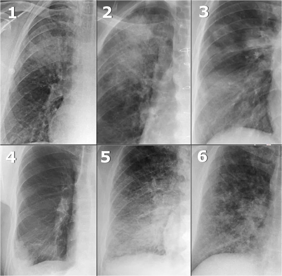
来看一下在胸片上如何辨别不同肺叶的不张以及肺不张与肺实变的鉴别
判断孩子是否为肺炎,一定要拍胸片吗?
絮状,模糊,斑片状气腔病变,通常位于中心.01肺泡性肺水肿
更多推荐
肺实变ct
肺结节胸片图片
肺结节胸片
正常胸片和异常胸片
胸片肺气肿
肺结核胸片
肺癌胸片
肺实变
肺实变ct图片
肺炎胸片
正常肺部胸片
气胸胸片
胸片胸透
胸片肺野的划分
肺实变x线表现图片
胸片正常图片
胸片图片
胸片结节影
胸片
正常胸片
胸片怎么看
健康胸片
气胸x线胸片图解
拍胸片照片
正常人胸片
胸片女性
胸片机器
拍胸片
胸片报告
正常胸片影像图片