首页
伤感说说
动漫配图
心情说说
抖音文案
伤感图片
伤感说说:
伤感的句子说说心情
空间说说
心情说说
爱情说说
女生伤感说说
人生感悟
心情不好的说说
说说带图片
关于生活的说说
说说心情短语
qq空间说说带图片
个性说说
励志名言
一句话经典语录
感悟人生的经典句子
短句吧
情感故事
抖音文案
伤感图片:
伤感图片带字
非主流伤感图片
唯美伤感图片
女生伤感图片
唯美意境图片
悲伤的图片
唯美意境伤感图片
只有字的伤感图片
说说图片
伤心的图片
美甲图片
图片大全
情感图片
微信头像男
动态壁纸
动漫配图
伤感图片
首页
>
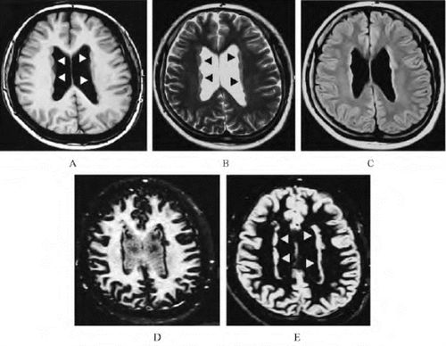
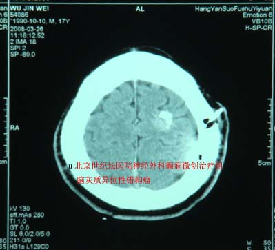
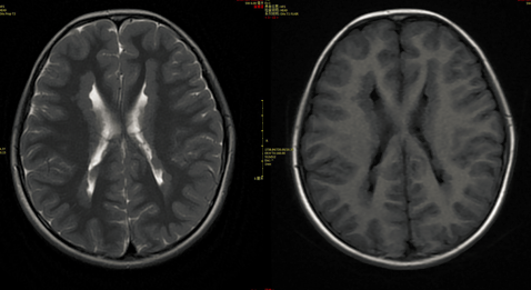
脑灰质异位
脑灰质异位,脑灰质异位图片
脑灰质异位_人体磁共振成像解
典型病例-脑灰质异位症
脑灰质异位症1例
脑灰质异位
医影学堂丨八个病例带你看懂脑灰质异位的三种类型
更多推荐
脑灰质异位图片
灰质异位
脑白质和脑灰质ct图片
脑灰质
脑灰质和脑白质
脑白质脑灰质解剖
脑白质灰质
大脑灰质白质
脑白质和脑灰质区别
脑灰质和脑白质ct
脑白质和脑灰质图片
脑灰质与脑白质影像图
脑灰质和脑白质解剖图
灰质白质
大脑灰质和白质解剖图
脊髓灰质
灰质和白质示意图
脑白质
脑白质解剖
异位胰腺
脊髓灰质结构
脊髓灰质侧角
脊髓灰质切片
脊髓灰质板层
异位胰腺图片
异位胰腺胃镜
皮脂腺异位
皮脂异位症
异位骨化
皮脂腺异位症