首页
伤感说说
动漫配图
心情说说
抖音文案
伤感图片
伤感说说:
伤感的句子说说心情
空间说说
心情说说
爱情说说
女生伤感说说
人生感悟
心情不好的说说
说说带图片
关于生活的说说
说说心情短语
qq空间说说带图片
个性说说
励志名言
一句话经典语录
感悟人生的经典句子
短句吧
情感故事
抖音文案
伤感图片:
伤感图片带字
非主流伤感图片
唯美伤感图片
女生伤感图片
唯美意境图片
悲伤的图片
唯美意境伤感图片
只有字的伤感图片
说说图片
伤心的图片
美甲图片
图片大全
情感图片
微信头像男
动态壁纸
动漫配图
伤感图片
首页
>
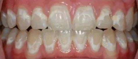
孩子缺钙牙齿钙化图片
孩子缺钙牙齿钙化图片,孩子牙床上长牙齿图片
孩子出牙晚,是缺钙吗?
牙齿上有白斑是因为缺钙?补钙就能好?
牙齿钙化掉了一块怎么回事
儿童牙齿钙化怎么办
牙齿钙化不全大家有什么好办法gc护牙素的使用
更多推荐
孩子牙床上长牙齿图片
孩子牙齿图片
孩子缺钙
孩子缺钙指甲白点图片
孩子牙齿
孩子掉牙齿的顺序图
缺锌和缺钙指甲图片
孩子换牙齿的顺序图
小孩指甲白缺钙图片
孩子梅毒牙齿症状图片
孩子缺钙x型腿图
小孩子掉牙齿
孩子牙齿上有黑斑
孩子牙齿漂亮
牙龈上长个小牙齿图片
孩子换牙顺序图
牙齿长到牙龈上龈图片
孩子长牙
孩子缺锌
孩子刷牙
孩子乳牙
宝宝缺钙指甲图片
孩子换牙顺序
小孩头骨里全是牙齿
幼儿牙齿腐蚀初期图片
指甲盖缺钙的表现图片
严重缺钙手指甲图片
缺钙
儿童梅毒牙齿图片
乳牙换牙时间顺序图