首页
伤感说说
动漫配图
心情说说
抖音文案
伤感图片
伤感说说:
伤感的句子说说心情
空间说说
心情说说
爱情说说
女生伤感说说
人生感悟
心情不好的说说
说说带图片
关于生活的说说
说说心情短语
qq空间说说带图片
个性说说
励志名言
一句话经典语录
感悟人生的经典句子
短句吧
情感故事
抖音文案
伤感图片:
伤感图片带字
非主流伤感图片
唯美伤感图片
女生伤感图片
唯美意境图片
悲伤的图片
唯美意境伤感图片
只有字的伤感图片
说说图片
伤心的图片
美甲图片
图片大全
情感图片
微信头像男
动态壁纸
动漫配图
伤感图片
首页
>
蛛网膜下腔出血ct图片
蛛网膜下腔出血ct图片,蛛网膜 结构图
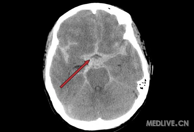
入院时头颅ct影像可见广泛蛛网膜下腔出血.
图中的脑ct图像显示willis环内存在高密度影,符合蛛网膜下腔出血表现.
头部ct提示蛛网膜下腔出血
蛛网膜下腔出血的ct研究(附96例分析)
怎么预防自发性蛛网膜下腔出血的发生?
更多推荐
蛛网膜 结构图
蛛网膜下腔出血图像
蛛网膜下腔出血ct解说
蛛网膜下腔示意图
脑ct图解
蛛网膜下腔在哪个部位
脑脓肿ct图片
蛛网膜下腔出血CT
cta是什么检查
小脑出血图片
正常脑CT
蛛网膜下腔是哪里
蛛网膜下腔出血后遗症
硬膜下血肿ct图
正常头颅ct图片
硬膜下血肿ct
蛛网膜下腔解剖
蛛网膜下腔出血 简图
蛛网膜下腔出血原因
脑出血ct图片
正常脑ct图片大全
硬膜外血肿ct
脑挫裂伤
硬膜外血肿ct表现
蛛网膜下腔位置图
脑出血ct图解
蛛网膜解剖图
脑萎缩ct图片
硬膜外血肿ct图片
硬膜下出血