首页
伤感说说
动漫配图
心情说说
抖音文案
伤感图片
伤感说说:
伤感的句子说说心情
空间说说
心情说说
爱情说说
女生伤感说说
人生感悟
心情不好的说说
说说带图片
关于生活的说说
说说心情短语
qq空间说说带图片
个性说说
励志名言
一句话经典语录
感悟人生的经典句子
短句吧
情感故事
抖音文案
伤感图片:
伤感图片带字
非主流伤感图片
唯美伤感图片
女生伤感图片
唯美意境图片
悲伤的图片
唯美意境伤感图片
只有字的伤感图片
说说图片
伤心的图片
美甲图片
图片大全
情感图片
微信头像男
动态壁纸
动漫配图
伤感图片
首页
>
胸骨骨折ct图片大全
胸骨骨折ct图片大全,手臂骨折ct图片
科主任王宏刚指示,通过查体,及相关化验检查,判断太太的骨折绝非偶然
黎平县人民医院外四科(骨科),成功救治一名,多发骨折
第1页 (共15页,当前第1页) 你可能喜欢 肋骨骨折 胸部ct阅读 x线读片
胸骨骨折
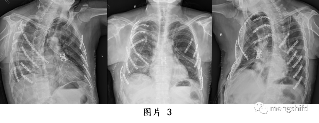
多发肋骨骨折和胸骨骨折合并连枷胸的手术治疗方
更多推荐
手臂骨折ct图片
手骨折ct图片
脚踝骨折ct图片清晰
腰椎横突骨折ct图片
骨折ct报告单图片
骨折ct图
开胸手术胸骨缝合图片
脚踝骨折ct图
骨折ct图真实
小腿骨折ct报告单图片
腿骨折ct图
胸骨凹陷图片
男孩胸骨突出图片大全
胸骨剑突图片
正常人胸骨图片
胸骨图片
腰椎横突骨折图片
胸骨柄突出图片
胸骨角凸起图片
胸骨的位置图片
胸骨一边高一边低图片
ct图片胸片
骨折检查报告图片
骨折ct
胸骨角位置图片真人图
胸骨上窝的位置图片
宝宝胸骨突出图片
ct图片腰间盘突出
骨折x光片
ct图片全身