首页
伤感说说
动漫配图
心情说说
抖音文案
伤感图片
伤感说说:
伤感的句子说说心情
空间说说
心情说说
爱情说说
女生伤感说说
人生感悟
心情不好的说说
说说带图片
关于生活的说说
说说心情短语
qq空间说说带图片
个性说说
励志名言
一句话经典语录
感悟人生的经典句子
短句吧
情感故事
抖音文案
伤感图片:
伤感图片带字
非主流伤感图片
唯美伤感图片
女生伤感图片
唯美意境图片
悲伤的图片
唯美意境伤感图片
只有字的伤感图片
说说图片
伤心的图片
美甲图片
图片大全
情感图片
微信头像男
动态壁纸
动漫配图
伤感图片
首页
>
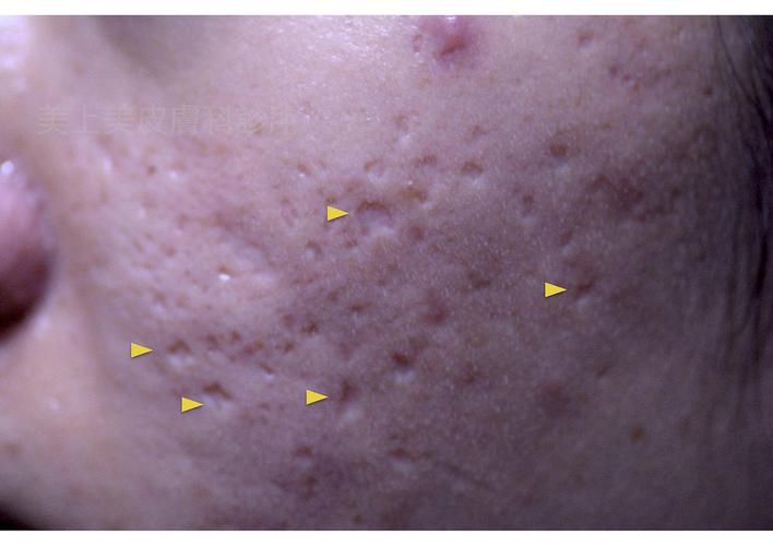
痘疤
痘疤,痘疙瘩
因为脸上有很多痘疤而心理自卑,能否从心理学的角度帮
脸上的痘疤怎么除
痘疤治疗中棘手的凹痘疤要靠磨皮,利用磨皮把不平的凹痘疤表皮气化,给
长了好多痘痘留下了痘疤怎么办呢求求帮帮我
怎样祛除痘印痘疤
更多推荐
痘疙瘩
痘印跟痘坑的区别图片
痘疤是什么样子的图片
下巴粉刺
凸痘疤
痘印一般多久会消失
痘疤长什么样子
痘印疤痕
白色痘印
痤疮硬块
凸起痘疤
轻微痘印图片
痘疤长什么样子图片
什么是痘疤
红色痘疤
痘疤怎么去除
痤疮结节瘢痕
痤疮硬疙瘩
痘疤照片
痘疤痘坑图片
粉刺疤痕
脸上痘印怎么最快淡化
最严重的痘疤图片
痘疤修复
凸痘印
痘疤激光
痘疤药膏
增生性痘印
红色痘印
痘痕