首页
伤感说说
动漫配图
心情说说
抖音文案
伤感图片
伤感说说:
伤感的句子说说心情
空间说说
心情说说
爱情说说
女生伤感说说
人生感悟
心情不好的说说
说说带图片
关于生活的说说
说说心情短语
qq空间说说带图片
个性说说
励志名言
一句话经典语录
感悟人生的经典句子
短句吧
情感故事
抖音文案
伤感图片:
伤感图片带字
非主流伤感图片
唯美伤感图片
女生伤感图片
唯美意境图片
悲伤的图片
唯美意境伤感图片
只有字的伤感图片
说说图片
伤心的图片
美甲图片
图片大全
情感图片
微信头像男
动态壁纸
动漫配图
伤感图片
首页
>
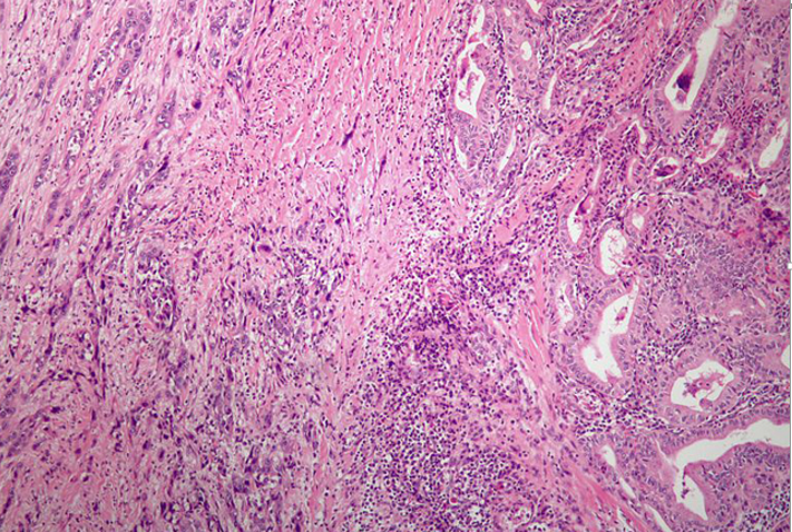
癌组织
癌组织,癌标本
乳突状甲状腺癌组织学表现
因为癌组织排列呈管状或腺泡状.
未分化型甲状腺癌组织学表现
证实这些肿瘤团周围存在肌上皮细胞,而浸润性癌组织团周围没有肌上皮
恶性皮肤癌组织两月内未移除致死率提高六倍
更多推荐
癌标本
癌变组织
肝癌组织
肺癌组织
癌组织坏死烂肉的图片
乳腺癌组织
癌组织图片
切下来的癌组织
组织论
脑组织
癌细胞组织图片
壳组织
被切下的癌组织图片
组织钳
切除下来的癌组织图片
上合组织
组织剪
橘皮组织
人体组织
传销组织
癌症肿瘤
皮肤组织
胆管癌
机械组织
黑暗组织
分生组织
肌肉组织
植物组织
厚角组织
间叶组织