首页
伤感说说
动漫配图
心情说说
抖音文案
伤感图片
伤感说说:
伤感的句子说说心情
空间说说
心情说说
爱情说说
女生伤感说说
人生感悟
心情不好的说说
说说带图片
关于生活的说说
说说心情短语
qq空间说说带图片
个性说说
励志名言
一句话经典语录
感悟人生的经典句子
短句吧
情感故事
抖音文案
伤感图片:
伤感图片带字
非主流伤感图片
唯美伤感图片
女生伤感图片
唯美意境图片
悲伤的图片
唯美意境伤感图片
只有字的伤感图片
说说图片
伤心的图片
美甲图片
图片大全
情感图片
微信头像男
动态壁纸
动漫配图
伤感图片
首页
>
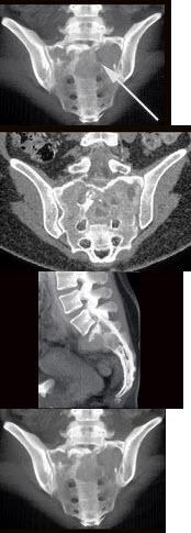
正常尾椎骨ct图
正常尾椎骨ct图,女性尾椎骨图片
问:尾椎骨受伤,这是拍的x片,请帮忙看下严不严重?
> 医学影像技术(医学高级)
69 骨科与显微外科专业讨论版 69 【原创病例】 因"反复骶尾部
十七年前从高处跌下,尾骨严重错位,最下面一节前倾呈90度,第二节严重
我女朋友前两天尾椎骨摔疼了,照了片,麻烦
更多推荐
女性尾椎骨图片
女性尾椎骨突出图片
正常骶尾骨x线图片
女性正常尾椎骨图片
正常尾椎骨x光片
尾椎骨ct图
尾椎骨ct图片
正常的人尾骨ct图
尾椎骨ct
正常骶尾骨ct图片
正常尾椎骨图片
正常人尾椎骨x光片图
骶尾骨骨折ct图片
正常右脚骨ct图
正常脚骨ct图
人正常尾骨x光图
正常人的尾椎骨图片
人脚踝骨正常ct图
尾椎骨正常形状图片
骶尾椎ct解剖图
尾骨ct图像
骶尾骨ct图片
尾椎骨骨折
尾椎骨示意图
骶尾椎正常侧位图解
正常人尾骨图片
尾椎骨图片
尾椎骨图片大全
骶椎ct解剖图
尾椎骨真人图片