首页
伤感说说
动漫配图
心情说说
抖音文案
伤感图片
伤感说说:
伤感的句子说说心情
空间说说
心情说说
爱情说说
女生伤感说说
人生感悟
心情不好的说说
说说带图片
关于生活的说说
说说心情短语
qq空间说说带图片
个性说说
励志名言
一句话经典语录
感悟人生的经典句子
短句吧
情感故事
抖音文案
伤感图片:
伤感图片带字
非主流伤感图片
唯美伤感图片
女生伤感图片
唯美意境图片
悲伤的图片
唯美意境伤感图片
只有字的伤感图片
说说图片
伤心的图片
美甲图片
图片大全
情感图片
微信头像男
动态壁纸
动漫配图
伤感图片
首页
>
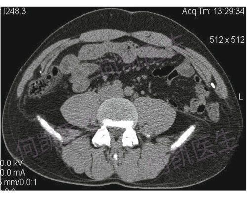
腰疝是什么症状图片
腰疝是什么症状图片,手癖是什么症状图片
你了解疝气吗
挺经典的腰疝
周围小肌肉拉伤,对椎间盘会有不利影响,可能会导致椎间盘突出症状加重
我院疝外科团队完成粤西首例完全腔镜下急诊嵌顿性腰疝tapp修补术
腰疝是什么,怎么治疗?
更多推荐
手癖是什么症状图片
风瘤是什么症状图片
疥疮图片和症状图片
湿疹图片初期症状图片
瘘疮是什么症状
萎了是什么症状
手足口病症状图片
水痘是什么症状
紫癜的早期症状图片
丹毒的症状图片
过花是什么症状
水痘的症状和图片
荨麻疹是什么症状
梅毒的症状和图片
荨麻疹初期症状图片
荨麻疹图片和症状
湿疹是什么症状
淋病的症状和图片
过花的症状图片
疹子的症状图片
舌癌的早期症状图片
手足口病症状初期图片
湿疹症状图片
腮腺炎的症状图片
上颌窦炎是什么症状
男人是什么症状
痱子症状图片
梅毒的症状和图片女性
皮炎图片和症状
女生的疣病是什么症状