首页
伤感说说
动漫配图
心情说说
抖音文案
伤感图片
伤感说说:
伤感的句子说说心情
空间说说
心情说说
爱情说说
女生伤感说说
人生感悟
心情不好的说说
说说带图片
关于生活的说说
说说心情短语
qq空间说说带图片
个性说说
励志名言
一句话经典语录
感悟人生的经典句子
短句吧
情感故事
抖音文案
伤感图片:
伤感图片带字
非主流伤感图片
唯美伤感图片
女生伤感图片
唯美意境图片
悲伤的图片
唯美意境伤感图片
只有字的伤感图片
说说图片
伤心的图片
美甲图片
图片大全
情感图片
微信头像男
动态壁纸
动漫配图
伤感图片
首页
>
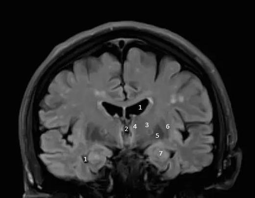
双侧侧脑室
双侧侧脑室,侧脑室位置图片
右侧侧脑室占位
右侧侧脑室占位
室管膜瘤(侧脑室,双侧,右侧为主,左侧囊变)
史上最全脑室解剖图谱快收藏了吧
侧脑室三角区肿瘤的诊断
更多推荐
侧脑室位置图片
侧脑室图片
侧脑室磁共振
侧脑室解剖
侧脑室正常值对照表
侧脑室第三脑室
侧脑室
侧脑室在哪
侧脑室与第三脑室图解
侧脑室ct
侧脑室后角
侧脑室增宽
脑室
第四脑室
第六脑室
脑室图解
侧脑室三角区
第三脑室
脑室系统
侧脑室解剖图
侧脑室ct图片
脑室图片
胎儿侧脑室正常值
侧脑室宽度正常值
脑室外引流
双侧额叶脑
脑室解剖图
第四脑室解剖
双侧卵巢
侧脑室三角区图片