首页
伤感说说
动漫配图
心情说说
抖音文案
伤感图片
伤感说说:
伤感的句子说说心情
空间说说
心情说说
爱情说说
女生伤感说说
人生感悟
心情不好的说说
说说带图片
关于生活的说说
说说心情短语
qq空间说说带图片
个性说说
励志名言
一句话经典语录
感悟人生的经典句子
短句吧
情感故事
抖音文案
伤感图片:
伤感图片带字
非主流伤感图片
唯美伤感图片
女生伤感图片
唯美意境图片
悲伤的图片
唯美意境伤感图片
只有字的伤感图片
说说图片
伤心的图片
美甲图片
图片大全
情感图片
微信头像男
动态壁纸
动漫配图
伤感图片
首页
>
锁骨ct正常
锁骨ct正常,正常锁骨ct图
7岁孩子双侧锁骨骨折需要做手术吗?内附ct片子
治疗后胸部ct
但是在书写颈部ct报告时必须要提到发现有迷走右锁骨下动脉
查体 辅查 胸部ct,锁骨上淋巴结穿刺活检(患者烦躁,使用镇静药基本
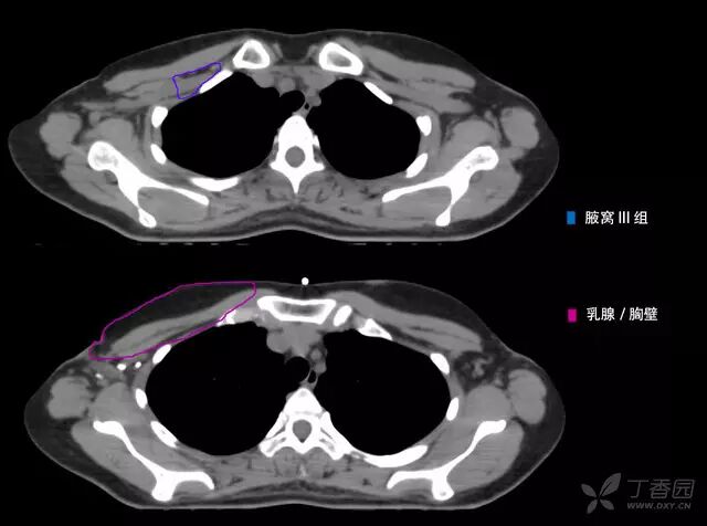
病例 1:左侧乳腺癌术后 t3n3(11/5)m0 iiib 期(下图仅显示锁骨上 ctv
更多推荐
正常锁骨ct图
正常锁骨片子
正常锁骨
正常人锁骨ct图片
锁骨ct图片
正常脚骨ct图
锁骨ct正常影像图片
正常头颅ct
正常锁骨x光图片
正常肺部ct
正常右脚骨ct图
正常锁骨图片
正常人锁骨x光图片
正常人锁骨骨骼图片
正常锁骨片子图片
锁骨正常x光片子图片
正常肺ct片子
正常人的左右锁骨x片
人脚踝骨正常ct图
锁骨x片
正常人锁骨图片
正常肺部ct图
正常肺部ct影像
正常锁骨影像图片
正常人肩膀ct图片
正常肺ct影像学
正常头颅ct图片
肺部ct正常图和异常图
锁骨照
锁骨