首页
伤感说说
动漫配图
心情说说
抖音文案
伤感图片
伤感说说:
伤感的句子说说心情
空间说说
心情说说
爱情说说
女生伤感说说
人生感悟
心情不好的说说
说说带图片
关于生活的说说
说说心情短语
qq空间说说带图片
个性说说
励志名言
一句话经典语录
感悟人生的经典句子
短句吧
情感故事
抖音文案
伤感图片:
伤感图片带字
非主流伤感图片
唯美伤感图片
女生伤感图片
唯美意境图片
悲伤的图片
唯美意境伤感图片
只有字的伤感图片
说说图片
伤心的图片
美甲图片
图片大全
情感图片
微信头像男
动态壁纸
动漫配图
伤感图片
首页
>
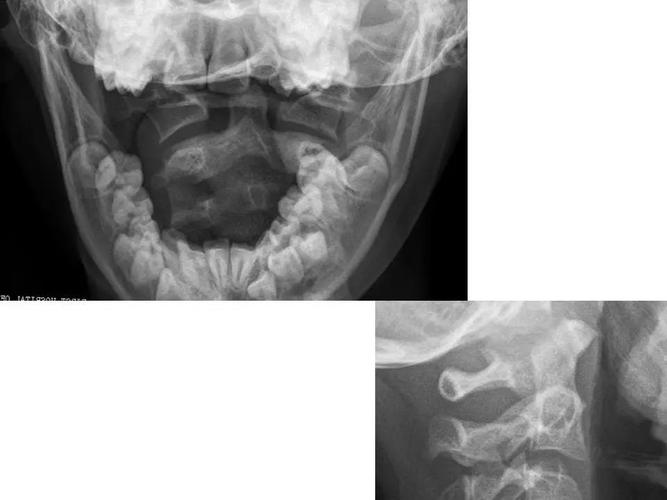
寰枢关节半脱位x片
寰枢关节半脱位x片,寰枢关节图片
一例寰枢关节半脱位的病例报道(转自网络)
病例:寰枢关节半脱位,该如何诊断与治疗?
寰枢关节脱位的影像诊断
寰枢关节半脱位诊断
寰枢关节脱位的影像诊断
更多推荐
寰枢关节图片
寰枢关节失稳
寰枢椎半脱位牵引图片
寰枢关节半脱位标准
寰枢关节半脱位图片
寰枢关节半脱位
寰枢关节半脱位症状
儿童寰枢关节半脱位
寰枢关节脱位图片
寰枢关节半脱位牵引图
寰枢关节脱位
儿童肘关节x片脱位
寰枢关节张口位
环杓关节脱位图片
儿童寰枢椎半脱位
儿童寰枢椎半脱位图片
腕关节脱位
尺桡关节脱位
下尺桡关节脱位
正常膝关节x片
寰枢关节不对称
髋关节x片
颞颌关节脱位
寰枢关节左窄右宽图片
肩锁关节二级脱位图片
腕关节正常x片
环杓关节脱位
寰枢关节
寰枢关节间隙
寰枢椎脱位