首页
伤感说说
动漫配图
心情说说
抖音文案
伤感图片
伤感说说:
伤感的句子说说心情
空间说说
心情说说
爱情说说
女生伤感说说
人生感悟
心情不好的说说
说说带图片
关于生活的说说
说说心情短语
qq空间说说带图片
个性说说
励志名言
一句话经典语录
感悟人生的经典句子
短句吧
情感故事
抖音文案
伤感图片:
伤感图片带字
非主流伤感图片
唯美伤感图片
女生伤感图片
唯美意境图片
悲伤的图片
唯美意境伤感图片
只有字的伤感图片
说说图片
伤心的图片
美甲图片
图片大全
情感图片
微信头像男
动态壁纸
动漫配图
伤感图片
首页
>
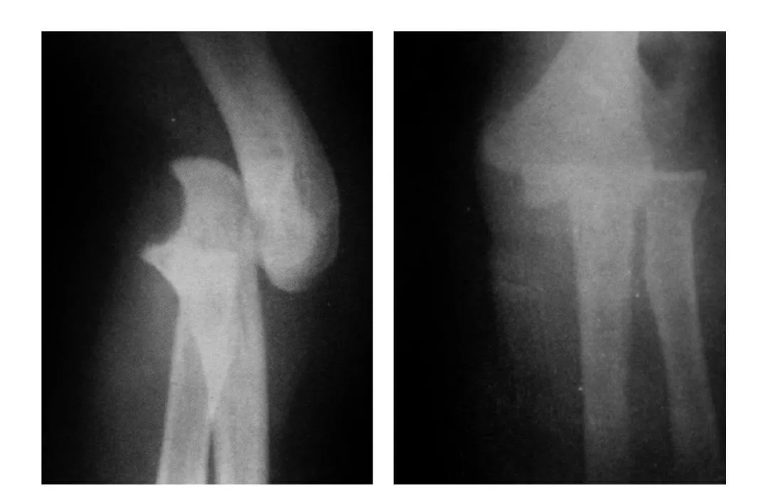
胳膊肘x光图片
胳膊肘x光图片,胳膊肘囊肿图片
7种肘部损伤x片详细图解
7种肘部损伤x片详细图解
【现病史】 患者于4小时前,不慎摔倒,当即左肘部肿痛畸形伴不
x光片看骨折块似乎很小,骨折移位也不大,可是真的如此吗?
致左肱骨小头粉碎性骨折,入院6天,肘部肿胀减轻后行切开复位内固定术
更多推荐
胳膊肘囊肿图片
胳膊肘图片
胳膊肘错位图片
胳膊肘外翻图片
胳膊肘卡通图片
胳膊肘长癣图片
手臂x光图片
后背x光图片
锁骨x光图片
胳膊肘骨头突出图片
全身x光图片
胳膊肘部位图
正常锁骨x光图片
手部x光图片
胳膊肘上长硬皮图片
x光图片
x光图片卡通
胳膊肘关节结构图
正常人的脚部x光图片
胳膊肘神经性皮炎图片
胳膊肘
胳膊肘卡通
胳膊肘疼
胳膊肘关节
胳膊肘黑
胳膊肘外翻
胳膊肘纹身
胳膊肘简笔画
胳膊肘发黑
胳膊肘纹身手稿