首页
伤感说说
动漫配图
心情说说
抖音文案
伤感图片
伤感说说:
伤感的句子说说心情
空间说说
心情说说
爱情说说
女生伤感说说
人生感悟
心情不好的说说
说说带图片
关于生活的说说
说说心情短语
qq空间说说带图片
个性说说
励志名言
一句话经典语录
感悟人生的经典句子
短句吧
情感故事
抖音文案
伤感图片:
伤感图片带字
非主流伤感图片
唯美伤感图片
女生伤感图片
唯美意境图片
悲伤的图片
唯美意境伤感图片
只有字的伤感图片
说说图片
伤心的图片
美甲图片
图片大全
情感图片
微信头像男
动态壁纸
动漫配图
伤感图片
首页
>
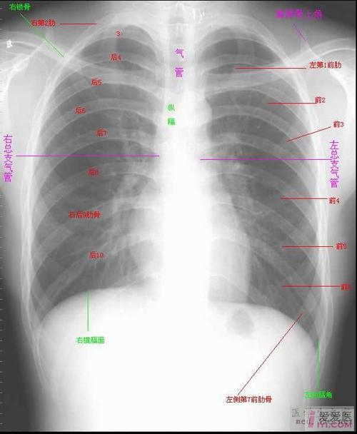
肺门角
肺门角,肺纹理
胸廓对称,气管居中,纵隔影不宽,肺门影不大,双肺纹理清晰(增强)
注意 左侧肺门常略高于右
肺门的简介
肺门和肺段断层解剖ct
下后肺静脉干5.右下肺动脉 6.肺门角 7.中间支气管 8.右上肺静脉 9.
更多推荐
肺纹理
肺门角的位置图
肺实质
叶间裂
肺门影
肺门
右肺门
左肺门
门角
肺门位置
肺门占位
门框角
肺门图片
肺门ct
肺门示意图
肺门结构图
肺门解剖图
肺门淋巴结
肺门的位置图
门角图片
肺门肿瘤图片
正常肺门图片
肺门ct示意图
门角防撞
肺门在哪个位置图片
肺门位置图片大全
肺门的准确位置图片
肺门的准确位置图
门角固定器
卫生间切角门