首页
伤感说说
动漫配图
心情说说
抖音文案
伤感图片
伤感说说:
伤感的句子说说心情
空间说说
心情说说
爱情说说
女生伤感说说
人生感悟
心情不好的说说
说说带图片
关于生活的说说
说说心情短语
qq空间说说带图片
个性说说
励志名言
一句话经典语录
感悟人生的经典句子
短句吧
情感故事
抖音文案
伤感图片:
伤感图片带字
非主流伤感图片
唯美伤感图片
女生伤感图片
唯美意境图片
悲伤的图片
唯美意境伤感图片
只有字的伤感图片
说说图片
伤心的图片
美甲图片
图片大全
情感图片
微信头像男
动态壁纸
动漫配图
伤感图片
首页
>
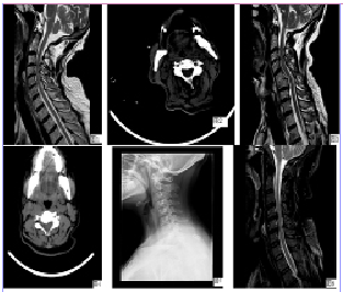
颈椎病ct图片讲解
颈椎病ct图片讲解,颈椎ct图片图解
颈椎病的早期表现有哪些?
颈椎病
颈椎病不要乱做牵引以及引起手麻木头晕的原因
颈椎病dr/ct/mri影像学比较诊断价值的分析
颈椎病的ct诊断
更多推荐
颈椎ct图片图解
正常颈椎ct图片图解
颈椎病图片大全图片图
颈椎病ct图片
颈椎病图片构造图解
腰椎ct片图片讲解
颈椎ct讲解图
如何看颈椎ct图片
正常颈椎ct图片
颈椎病图片
颈椎病图片高清
新手看颈椎ct片图解
颈椎病核磁共振图解
脖子颈椎病图片大全
颈椎病ct
颈椎病卡通图片
如何看懂颈椎ct图
颈椎病正确睡姿图片
脑ct图片讲解片子
颈椎病x光片
颈椎病自我按摩图解
颈椎病按摩手法图解
正常的腰椎片子ct图片
颈椎病片子
脑ct图片讲解
脑ct图片讲解正常
脑ct图片讲解诊断
颈椎病核磁
新手看腰椎ct片图解
脑梗塞ct图片解说图