首页
伤感说说
动漫配图
心情说说
抖音文案
伤感图片
伤感说说:
伤感的句子说说心情
空间说说
心情说说
爱情说说
女生伤感说说
人生感悟
心情不好的说说
说说带图片
关于生活的说说
说说心情短语
qq空间说说带图片
个性说说
励志名言
一句话经典语录
感悟人生的经典句子
短句吧
情感故事
抖音文案
伤感图片:
伤感图片带字
非主流伤感图片
唯美伤感图片
女生伤感图片
唯美意境图片
悲伤的图片
唯美意境伤感图片
只有字的伤感图片
说说图片
伤心的图片
美甲图片
图片大全
情感图片
微信头像男
动态壁纸
动漫配图
伤感图片
首页
>
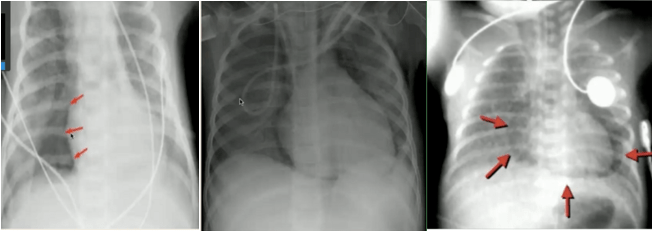
儿童拍胸片
儿童拍胸片,儿童胸片
关于x胸片你想知道的都在这里
如何阅读儿童胸片(上)-钟礼立
儿童胸片 儿童胸片有点复杂,千万不要随便下诊断,一定要会识别儿童
如何阅读儿童胸片(下)-钟礼立
读完此文,终于会看儿童胸片了
更多推荐
儿童胸片
拍胸片照片
儿童正常胸片
儿童胸片正常图
拍胸片
儿童肺炎胸片
拍胸片照片正常
如何拍胸片照片
女性拍胸片图片
拍胸片姿势
女士拍胸片怎么拍
正常胸片和异常胸片
拍胸片怎么站图片
拍胸片仪器
胸片胸透
胸片正常图片
胸片图片
拍胸片的姿势照片
正常胸片和肺炎胸片
儿童肺炎胸片图解
小儿肺炎胸片图片
气胸胸片
拍片胸片摆位示意图
正常胸片和肺炎胸片图
拍胸透
正常胸片影像图片
儿童肺片
拍胸片的标准姿势
拍胸片正确姿势
胸片