首页
伤感说说
动漫配图
心情说说
抖音文案
伤感图片
伤感说说:
伤感的句子说说心情
空间说说
心情说说
爱情说说
女生伤感说说
人生感悟
心情不好的说说
说说带图片
关于生活的说说
说说心情短语
qq空间说说带图片
个性说说
励志名言
一句话经典语录
感悟人生的经典句子
短句吧
情感故事
抖音文案
伤感图片:
伤感图片带字
非主流伤感图片
唯美伤感图片
女生伤感图片
唯美意境图片
悲伤的图片
唯美意境伤感图片
只有字的伤感图片
说说图片
伤心的图片
美甲图片
图片大全
情感图片
微信头像男
动态壁纸
动漫配图
伤感图片
首页
>
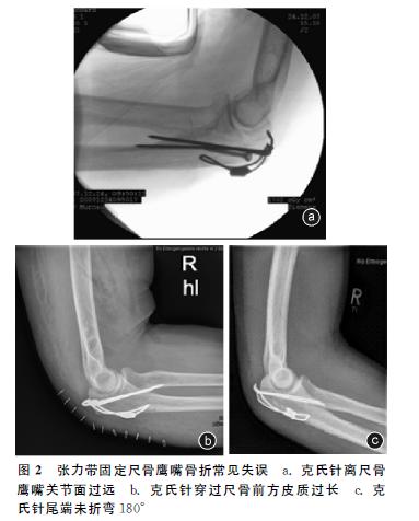
尺骨鹰嘴解剖位置
尺骨鹰嘴解剖位置,尺骨鹰嘴位置解剖图
尺骨鹰嘴骨折
尺骨鹰嘴的应力性骨折
尺骨鹰嘴骨折
尺骨鹰嘴骨折手术技巧
尺骨鹰嘴骨折ppt
更多推荐
尺骨鹰嘴位置解剖图
尺骨鹰嘴骨折解剖图
尺骨鹰嘴截骨位置图解
尺骨鹰嘴解剖
尺骨鹰嘴解剖图
尺骨鹰嘴窝解剖图
尺骨鹰嘴解剖图片
尺骨鹰嘴冠突解剖
尺骨鹰嘴具体位置
尺骨鹰嘴位置图
尺骨小头解剖位置图
尺骨桡骨解剖图片
尺骨鹰嘴骨折
尺骨鹰嘴具体位置图片
正常尺骨鹰嘴骨图片
尺骨鹰嘴骨折图片
尺骨鹰嘴体表位置图片
尺骨解剖
尺骨鹰嘴骨折x光片
尺骨鹰嘴在哪
尺骨鹰嘴
尺骨解剖冠突
尺骨鹰嘴凸起
尺骨鹰嘴骨折钢板图片
尺骨鹰嘴牵引
尺骨鹰嘴骨折石膏固定
鹰嘴解剖
尺骨冠突解剖图片
尺骨冠状突解剖
正常尺桡骨解剖图