首页
伤感说说
动漫配图
心情说说
抖音文案
伤感图片
伤感说说:
伤感的句子说说心情
空间说说
心情说说
爱情说说
女生伤感说说
人生感悟
心情不好的说说
说说带图片
关于生活的说说
说说心情短语
qq空间说说带图片
个性说说
励志名言
一句话经典语录
感悟人生的经典句子
短句吧
情感故事
抖音文案
伤感图片:
伤感图片带字
非主流伤感图片
唯美伤感图片
女生伤感图片
唯美意境图片
悲伤的图片
唯美意境伤感图片
只有字的伤感图片
说说图片
伤心的图片
美甲图片
图片大全
情感图片
微信头像男
动态壁纸
动漫配图
伤感图片
首页
>
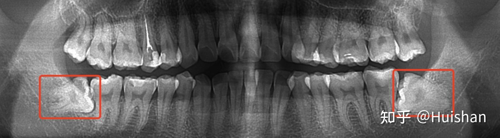
智齿拔牙
智齿拔牙,拔牙窟窿
智齿发炎"放倒"男子,拔牙后住进icu
有没有智齿像这样横长,不拔也没问题的朋友啊.实在讨厌拔牙.
拔智齿过程及所感_拔牙_消炎_口腔_夏天去哪玩_发炎_运动_拔智齿_医疗
求问郑州植得口腔医院拔牙多少钱想拔一颗阻生智齿牙
超难拔的阻生智齿拔牙和恢复过程~持续更新中.
更多推荐
拔牙窟窿
智齿拔牙图片
智齿拔牙过程
智齿拔牙卡通图片
拔智齿
智齿拔牙后窟窿
拔智齿收费价目表拔牙
拔智齿疼吗
拔牙
智齿
阻生智齿
长智齿
智齿盲袋
拔牙工具
拔牙可怜
智齿一定要拔吗
智齿位置
拔牙图片
智齿发炎
拔牙配图
拔牙钳
智齿拍片
智齿拔牙后窟窿恢复图
拔牙多少钱一颗啊智齿
智齿可爱
拔牙搞笑
智齿图片
拔智齿后牙洞真实图片
拔智齿收费标准
老虎拔牙