首页
伤感说说
动漫配图
心情说说
抖音文案
伤感图片
伤感说说:
伤感的句子说说心情
空间说说
心情说说
爱情说说
女生伤感说说
人生感悟
心情不好的说说
说说带图片
关于生活的说说
说说心情短语
qq空间说说带图片
个性说说
励志名言
一句话经典语录
感悟人生的经典句子
短句吧
情感故事
抖音文案
伤感图片:
伤感图片带字
非主流伤感图片
唯美伤感图片
女生伤感图片
唯美意境图片
悲伤的图片
唯美意境伤感图片
只有字的伤感图片
说说图片
伤心的图片
美甲图片
图片大全
情感图片
微信头像男
动态壁纸
动漫配图
伤感图片
首页
>
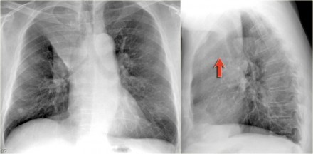
肺不张胸片
肺不张胸片,肺不张胸片表现
胸疾病胸片表现之肺不张
胸疾病胸片表现之肺不张
胸疾病胸片表现之肺不张
胸疾病胸片表现之肺不张
胸疾病胸片表现之肺不张
更多推荐
肺不张胸片表现
肺不张x线表现
肺部感染胸片
消化道穿孔x线表现
气胸胸片典型图片
胸腔积液胸片
肺不张
肺不张图片
肺炎胸片
气胸胸片
肺结节胸片
肺不张ct经典图片
胸腔积液胸片典型图片
肺实变胸片
肺不张胸片典型图片
肺不张胸片表现图片
肺不张x线
肺不张ct
肺气肿胸片
胸片肺气肿
肺结核胸片
右肺中叶肺不张
肺癌胸片
肺不张x线图片
肺不张ct图片
肺不张影像
正常胸片和异常胸片
盘状肺不张
肺不张ct表现
肺不张影像学