首页
伤感说说
动漫配图
心情说说
抖音文案
伤感图片
伤感说说:
伤感的句子说说心情
空间说说
心情说说
爱情说说
女生伤感说说
人生感悟
心情不好的说说
说说带图片
关于生活的说说
说说心情短语
qq空间说说带图片
个性说说
励志名言
一句话经典语录
感悟人生的经典句子
短句吧
情感故事
抖音文案
伤感图片:
伤感图片带字
非主流伤感图片
唯美伤感图片
女生伤感图片
唯美意境图片
悲伤的图片
唯美意境伤感图片
只有字的伤感图片
说说图片
伤心的图片
美甲图片
图片大全
情感图片
微信头像男
动态壁纸
动漫配图
伤感图片
首页
>
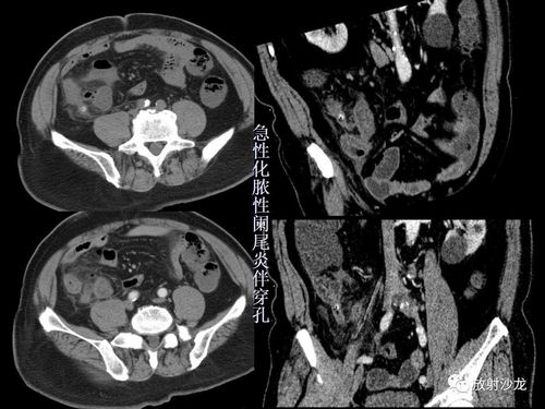
阑尾ct图解
阑尾ct图解,阑尾ct图解图像
精品讲座急性阑尾炎的ct诊断
ppt急性阑尾炎的ct诊断
全面讲解正常阑尾和阑尾炎的ct表现
开课了急性阑尾炎的ct诊断及鉴别诊断
打基础 | 急性阑尾炎 ct 诊断
更多推荐
阑尾ct图解图像
阑尾炎ct图解图像
阑尾炎ct图
怎么看阑尾ct图解
阑尾ct位置图
阑尾ct
阑尾炎ct怎么看图解
阑尾解剖图
阑尾粪石ct
正常阑尾ct图像
阑尾炎ct
阑尾ct断层解剖图谱
ct阑尾的位置图片
腹部ct阑尾的解剖图谱
ct怎么看图解
阑尾炎ct表现图片
阑尾图片
阑尾炎ct诊断图片
阑尾位置图
阑尾
阑尾在哪
阑尾的位置图片
腹部ct怎么看图解
ct怎么看图解正常
阑尾粪石
头颅ct怎么看图解
急性阑尾炎CT图片
腹部ct高清图解说
阑尾炎部位
正常肺ct片图片图解