首页
伤感说说
动漫配图
心情说说
抖音文案
伤感图片
伤感说说:
伤感的句子说说心情
空间说说
心情说说
爱情说说
女生伤感说说
人生感悟
心情不好的说说
说说带图片
关于生活的说说
说说心情短语
qq空间说说带图片
个性说说
励志名言
一句话经典语录
感悟人生的经典句子
短句吧
情感故事
抖音文案
伤感图片:
伤感图片带字
非主流伤感图片
唯美伤感图片
女生伤感图片
唯美意境图片
悲伤的图片
唯美意境伤感图片
只有字的伤感图片
说说图片
伤心的图片
美甲图片
图片大全
情感图片
微信头像男
动态壁纸
动漫配图
伤感图片
首页
>
寰枢椎半脱位睡觉姿势
寰枢椎半脱位睡觉姿势,寰枢关节左窄右宽图片
儿童寰枢椎半脱位您的治疗办法?
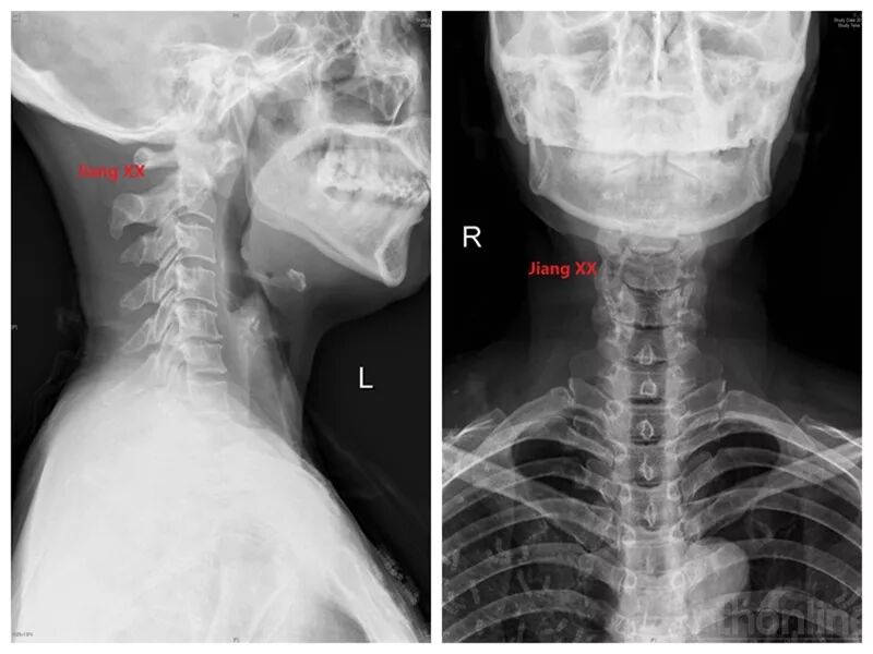
病例一:患者女性,49岁,因颈部活动受限4月入院,诊断为寰枢椎脱位,颅底
goel术式治疗寰枢椎脱位1例分享
寰枢椎脱位合并阻滞椎一例. 术者:孙晓立 助手:刘宏雷
寰枢椎脱位
更多推荐
寰枢关节左窄右宽图片
枢椎齿状突
寰枢关节半脱位牵引图
寰枢关节半脱位图片
寰枢关节脱位
寰枢椎旋转脱位固定
寰枢关节不对称
寰枢椎半脱位牵引图片
儿童寰枢椎半脱位图片
儿童寰枢椎半脱位头歪
小儿寰枢椎半脱位睡觉
儿童寰枢椎半脱位牵引
寰枢椎半脱位
儿童寰枢椎半脱位
儿童寰枢椎半脱位表现
寰枢椎半脱位的症状
寰枢椎脱位
寰枢椎脱位儿童
寰枢椎脱位图
寰枢关节半脱位牵引
寰枢关节半脱位
环枢椎脱位
寰椎和枢椎解剖图
寰枢关节脱位图片
寰枢椎
寰枢椎解剖图
寰枢椎解剖
枢椎解剖图