首页
伤感说说
动漫配图
心情说说
抖音文案
伤感图片
伤感说说:
伤感的句子说说心情
空间说说
心情说说
爱情说说
女生伤感说说
人生感悟
心情不好的说说
说说带图片
关于生活的说说
说说心情短语
qq空间说说带图片
个性说说
励志名言
一句话经典语录
感悟人生的经典句子
短句吧
情感故事
抖音文案
伤感图片:
伤感图片带字
非主流伤感图片
唯美伤感图片
女生伤感图片
唯美意境图片
悲伤的图片
唯美意境伤感图片
只有字的伤感图片
说说图片
伤心的图片
美甲图片
图片大全
情感图片
微信头像男
动态壁纸
动漫配图
伤感图片
首页
>
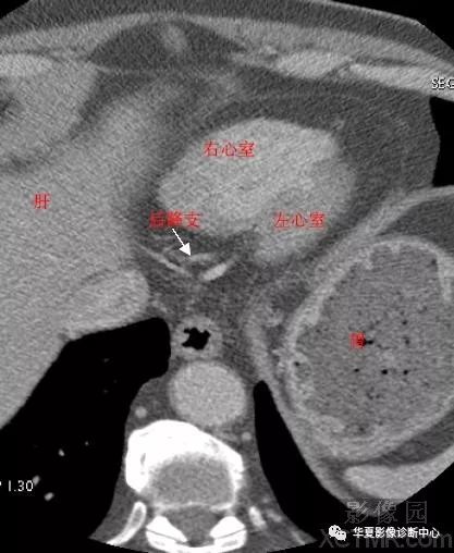
心脏ct解剖图
心脏ct解剖图,腹部ct解剖图
影像解剖|心脏冠状动脉ct解剖中文详细标注(图文)
胸部ct解剖入门技巧轻松掌握肺段分布及重要血管
影像解剖|心脏冠状动脉ct解剖中文详细标注(图文)
冠脉cta 正常冠脉的解剖
影像解剖|心脏冠状动脉ct解剖中文详细标注(图文)
更多推荐
腹部ct解剖图
心脏断层解剖图
心脏CT横断面解剖图
正常心脏ct图片大全
心脏ct图片
正常人ct心脏图片
心脏ct片子图片
心脏CT解剖
心脏的ct解剖图谱
心脏ct断层解剖图中文
心脏ct断层解剖图
冠脉ct
心脏CT解剖图解
心脏ct横断面解剖
心脏ct血管
心脏ct解剖
心脏解剖图
心脏ct图片心脏造影
心脏解剖图手绘
心脏ct横断面解剖图
头颅ct解剖图
骨盆ct解剖图
心脏解剖图简笔画
垂体ct解剖图
心脏ct图片真实
肝分段解剖图ct
鼻骨ct解剖图
肺分段ct解剖图
正常头颅ct解剖图
腺样体ct解剖图