首页
伤感说说
动漫配图
心情说说
抖音文案
伤感图片
伤感说说:
伤感的句子说说心情
空间说说
心情说说
爱情说说
女生伤感说说
人生感悟
心情不好的说说
说说带图片
关于生活的说说
说说心情短语
qq空间说说带图片
个性说说
励志名言
一句话经典语录
感悟人生的经典句子
短句吧
情感故事
抖音文案
伤感图片:
伤感图片带字
非主流伤感图片
唯美伤感图片
女生伤感图片
唯美意境图片
悲伤的图片
唯美意境伤感图片
只有字的伤感图片
说说图片
伤心的图片
美甲图片
图片大全
情感图片
微信头像男
动态壁纸
动漫配图
伤感图片
首页
>
血小板图片涂片
血小板图片涂片,血涂片血小板图片
血涂片镜检:未见血小板聚集 枸橼酸钠抗凝:血小板136×109/l (血液与
①血涂片:这个患者的血常规血小板很低,但是红细胞分布宽度却很高
同时制备血涂片瑞士染色镜检有无plt聚集现象,即排除edta诱导血小板
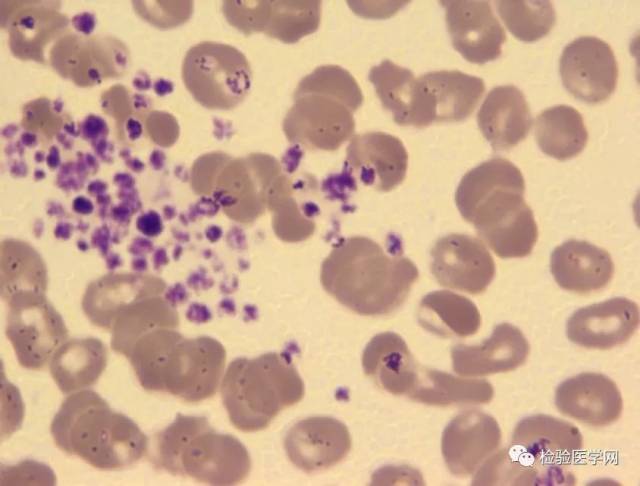
患者edta抗凝血涂片(血小板成簇,成堆分布)
mds-mpn伴环形铁粒幼细胞和血小板增多
更多推荐
血涂片血小板图片
血小板图片血浆
血小板血涂片
血小板图片止血
血小板图片卡通图片
血小板图片
血涂片图片
正常血小板图片
血小板图片形态
血小板图片手绘图
镜下血小板图片
血小板图片结构
人血永久涂片图片
血涂片单核细胞图片
人体血小板图片
血小板图片白细胞
血小板图片生成
血涂片细胞形态图片
血涂片各种细胞的图片
血涂片显微镜下图片
血小板图片显微镜
人血涂片显微镜图片
工作细胞血小板图片
血小板白血球
血小板显微镜下图片
血小板镜下形态图片
人血涂片示意图
血涂片
人血涂片
血涂片标本画图