首页
伤感说说
动漫配图
心情说说
抖音文案
伤感图片
伤感说说:
伤感的句子说说心情
空间说说
心情说说
爱情说说
女生伤感说说
人生感悟
心情不好的说说
说说带图片
关于生活的说说
说说心情短语
qq空间说说带图片
个性说说
励志名言
一句话经典语录
感悟人生的经典句子
短句吧
情感故事
抖音文案
伤感图片:
伤感图片带字
非主流伤感图片
唯美伤感图片
女生伤感图片
唯美意境图片
悲伤的图片
唯美意境伤感图片
只有字的伤感图片
说说图片
伤心的图片
美甲图片
图片大全
情感图片
微信头像男
动态壁纸
动漫配图
伤感图片
首页
>
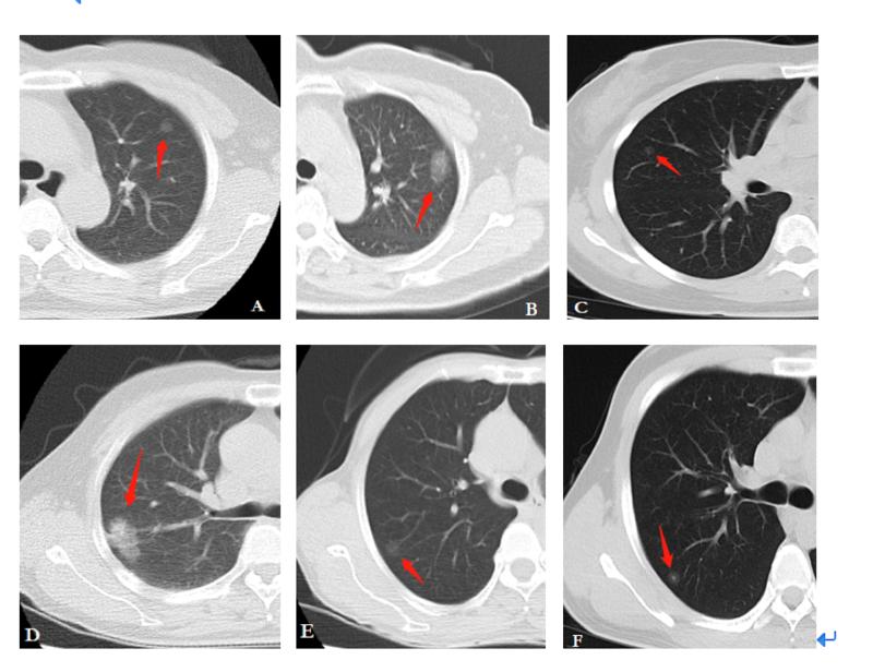
早期肺癌ct图图解影像
早期肺癌ct图图解影像,早期肺癌ct图影像
真假支气管爬行征肺腺癌1例ct影像讨论
小细胞肺癌ct影像学表现
低剂量螺旋ct扫描,让早期肺癌"无所遁形"
呼吸中心一区独立完成ct定位下肺毛玻璃结节胸腔镜活检肺癌根治术.
早期肺腺癌ct表现之早期浸润性肺腺癌
更多推荐
早期肺癌ct图影像
早期肺癌ct图图解
肺癌ct图片图解
早期肺癌ct图
肺癌早期图片ct片
肺结核ct影像表现图解
肺癌ct影像表现特点
食管癌ct影像图片
正常肺对比肺癌ct图片
正常的肺部ct影像图片
肺部ct怎么看图解解读
早期肺癌ct报告单
肺癌图片高清图片ct
肺癌ct图片
肺部ct怎么看图解
肺结核ct片图片图解
食道癌ct片子图解
正常肺ct片图片图解
肠梗阻的ct影像图
肺癌ct
肺癌晚期肺烂了的图片
怎么看肺部ct片子图解
肺部ct图片正常图
肺结核ct影像表现特点
正常肺与肺结核ct图片
结核ct影像表现图片
肝硬化ct影像表现图片
如何看懂肺癌CT图片
脑出血ct影像表现图片
膈疝ct表现影像图