首页
伤感说说
动漫配图
心情说说
抖音文案
伤感图片
伤感说说:
伤感的句子说说心情
空间说说
心情说说
爱情说说
女生伤感说说
人生感悟
心情不好的说说
说说带图片
关于生活的说说
说说心情短语
qq空间说说带图片
个性说说
励志名言
一句话经典语录
感悟人生的经典句子
短句吧
情感故事
抖音文案
伤感图片:
伤感图片带字
非主流伤感图片
唯美伤感图片
女生伤感图片
唯美意境图片
悲伤的图片
唯美意境伤感图片
只有字的伤感图片
说说图片
伤心的图片
美甲图片
图片大全
情感图片
微信头像男
动态壁纸
动漫配图
伤感图片
首页
>
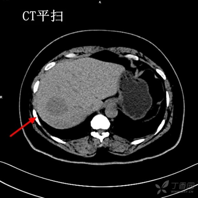
正常肝脏和肝癌ct图片
正常肝脏和肝癌ct图片,正常人肝的ct高清图片
入院时,ct示右肝前叶原发性肝癌(hcc),向包膜外突出.大小42*38mm.
后又于大庆油田总医院行增强ct明确诊断: 巨块型肝癌 肝癌恶性肿瘤
查体 辅查 查体,上腹部压痛明显,肝脏肋下5厘米, 腹部ct如下.
发现肝占位病变3月余;2 ,由于肝癌与胆囊关系密切,并有肝内转移位于ct
小肝癌
更多推荐
正常人肝的ct高清图片
正常肝脏ct
肝硬化ct影像表现
正常肝脏ct片子图片
肝癌CT片子图
肝癌长什么样子图片
肝癌晚期真实图片
肝硬化CT
肝癌ct
肝ct
肝癌的肝是啥样的图片
肝癌眼睛图片
肝癌ct影像图
肝ct正常片子对照图
肝癌片子图
肝癌诊断书真实图片
肝癌ct片图片图解
肝癌增强CT图片
肝癌ct图片怎么看
肝血管瘤ct
肝癌ct图片
肝脏ct图
正常肝ct图片怎样看
肝囊肿ct图片
正常肝脏ct平扫图片
新手看肝部ct片图解
正常肝脏ct图
肝脓肿ct图片
正常肝脏增强ct图片
肝脏ct正常图片