首页
伤感说说
动漫配图
心情说说
抖音文案
伤感图片
伤感说说:
伤感的句子说说心情
空间说说
心情说说
爱情说说
女生伤感说说
人生感悟
心情不好的说说
说说带图片
关于生活的说说
说说心情短语
qq空间说说带图片
个性说说
励志名言
一句话经典语录
感悟人生的经典句子
短句吧
情感故事
抖音文案
伤感图片:
伤感图片带字
非主流伤感图片
唯美伤感图片
女生伤感图片
唯美意境图片
悲伤的图片
唯美意境伤感图片
只有字的伤感图片
说说图片
伤心的图片
美甲图片
图片大全
情感图片
微信头像男
动态壁纸
动漫配图
伤感图片
首页
>
肺癌胸片早期
肺癌胸片早期,肺癌胸片晚期
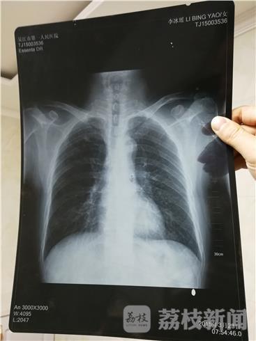
六旬男子患肺癌去世 患病前体检胸片"变"女性
5类肺癌的影像学表现(多图)
典型胸片(一)
这样的胸片也可能有肺癌?
如果高度怀疑是肺癌,最好做一个胸片或者胸部ct,由于胸片分辨率低
更多推荐
肺癌胸片晚期
肺癌胸片
肺癌ct图片胸片
肺癌胸片图
肺癌早期症状
早期肺癌ct图
中央型肺癌胸片
正常胸片和异常胸片
正常肺部胸片
肺结核胸片
胸片肺气肿
肺炎胸片
肺癌晚期图片
肺癌早期痰液图片
肺癌x光片
肺癌片子
正常肺和肺癌图片
肺癌患者的肺
肺癌的肺
肺癌ct图片
气胸胸片
肺癌的早期症状ct图片
肺癌早期有三处痛
肺癌晚期
肺癌早期杵状指图片
早期肺癌痰中带血图片
正常肺对比肺癌ct图片
肺癌ct
胸片胸透
肺癌分期