首页
伤感说说
动漫配图
心情说说
抖音文案
伤感图片
伤感说说:
伤感的句子说说心情
空间说说
心情说说
爱情说说
女生伤感说说
人生感悟
心情不好的说说
说说带图片
关于生活的说说
说说心情短语
qq空间说说带图片
个性说说
励志名言
一句话经典语录
感悟人生的经典句子
短句吧
情感故事
抖音文案
伤感图片:
伤感图片带字
非主流伤感图片
唯美伤感图片
女生伤感图片
唯美意境图片
悲伤的图片
唯美意境伤感图片
只有字的伤感图片
说说图片
伤心的图片
美甲图片
图片大全
情感图片
微信头像男
动态壁纸
动漫配图
伤感图片
首页
>
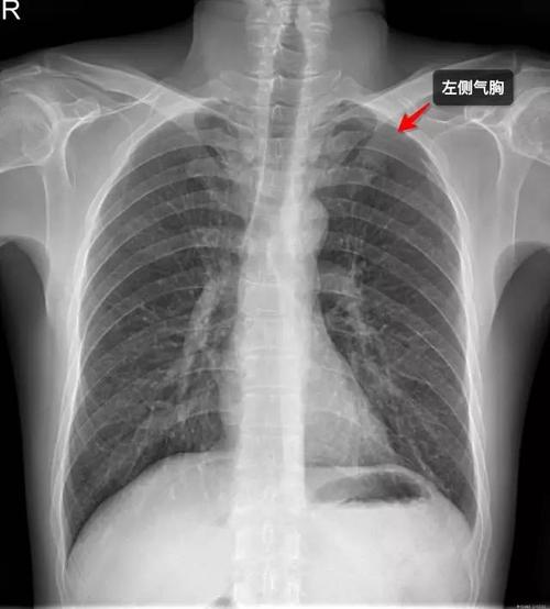
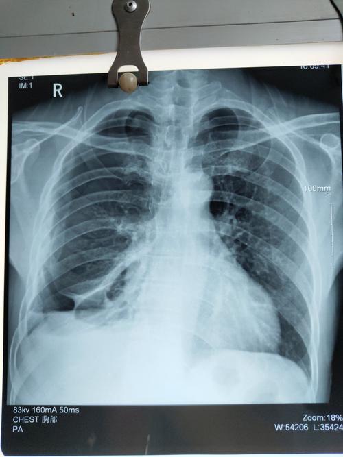
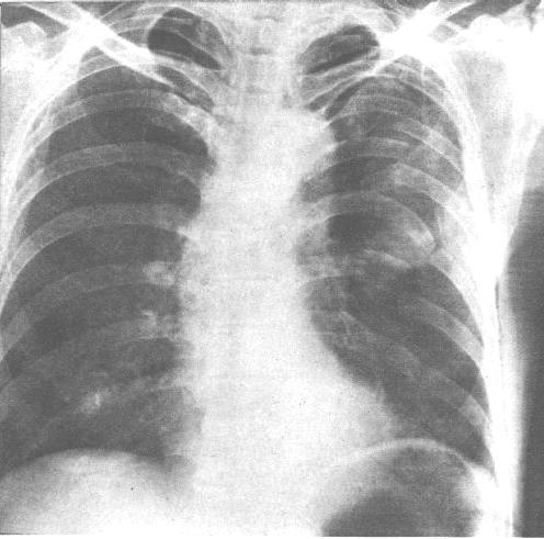
肋骨骨折x光片
肋骨骨折x光片,肋骨骨折真实图片
肋骨骨折概述及诊断
那些年,你漏诊过的肋骨骨折!
外科治疗多发肋骨骨折合并血气胸一例(李爱雄,赵毅团队)
超声入门贴369-----多根肋骨骨折
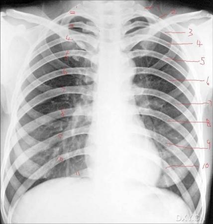
高效看胸片
更多推荐
肋骨骨折真实图片
肋骨骨折片子
肋骨断的片子图片
肋骨骨折报告
肋骨骨折怎么治疗
肋骨骨折胸片
多根肋骨骨折
肋骨骨折固定
肋骨骨折畸形愈合图片
肋骨ct图片
肋骨骨折ct图解
肋骨骨折错位图片
肋骨断了的x光图片
肋骨骨折片子图片
肋骨骨折绷带包扎图片
肋骨骨折诊断书图片
肋骨骨折报告单图片
肋骨骨折真人照片图片
肋骨骨折能自愈吗
肋骨骨折x线
轻微肋骨骨折片子图片
肋骨软骨骨折
肋骨骨折x光片片子
肋骨骨折ct图片
肋骨骨折需要怎么治疗
肋骨骨折多久能好
右边肋骨骨折睡觉图片
左侧肋骨骨折ct图片
肋骨骨折的x光片图片
肋骨骨折图片片子