首页
伤感说说
动漫配图
心情说说
抖音文案
伤感图片
伤感说说:
伤感的句子说说心情
空间说说
心情说说
爱情说说
女生伤感说说
人生感悟
心情不好的说说
说说带图片
关于生活的说说
说说心情短语
qq空间说说带图片
个性说说
励志名言
一句话经典语录
感悟人生的经典句子
短句吧
情感故事
抖音文案
伤感图片:
伤感图片带字
非主流伤感图片
唯美伤感图片
女生伤感图片
唯美意境图片
悲伤的图片
唯美意境伤感图片
只有字的伤感图片
说说图片
伤心的图片
美甲图片
图片大全
情感图片
微信头像男
动态壁纸
动漫配图
伤感图片
首页
>
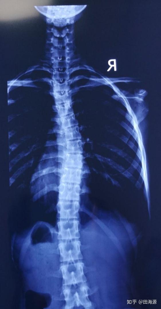
脊柱侧弯曲图片
脊柱侧弯曲图片,脊柱侧弯90度照片
男孩脊柱侧弯83度,手术后长高6厘米;专家称若治疗不当
脊柱侧弯
"成长杀手"青少年脊柱侧弯的危害, 家长知道多少?
【天坛科普】孩子"长歪了"---警惕脊柱侧弯的发生!
脊柱健康影响一生,脊椎骨坏死消失引起脊柱侧弯还能站
更多推荐
脊柱侧弯90度照片
脊椎骨弯曲怎么治疗
正常脊柱图片
早上好图片最新图片
图片
图片就这样
图片传说
风景图片
花的图片
图片中国
图片上班
图片文化
图片壁纸
图片大吉
图片头像
图片味道
心情图片
图片地球
图片书法
图片绘本
肖战图片
母亲节图片
母亲节快乐图片
头像图片2021最火爆