首页
伤感说说
动漫配图
心情说说
抖音文案
伤感图片
伤感说说:
伤感的句子说说心情
空间说说
心情说说
爱情说说
女生伤感说说
人生感悟
心情不好的说说
说说带图片
关于生活的说说
说说心情短语
qq空间说说带图片
个性说说
励志名言
一句话经典语录
感悟人生的经典句子
短句吧
情感故事
抖音文案
伤感图片:
伤感图片带字
非主流伤感图片
唯美伤感图片
女生伤感图片
唯美意境图片
悲伤的图片
唯美意境伤感图片
只有字的伤感图片
说说图片
伤心的图片
美甲图片
图片大全
情感图片
微信头像男
动态壁纸
动漫配图
伤感图片
首页
>
胸片肺结节影图片
胸片肺结节影图片,肺癌x光片
图1箭头示一个靠近左侧上纵隔的孤立性肺结节.
胸片查出肺部多发性小结节,结果竟比"肺癌"还可怕
图1 胸片显示左下肺阴影
关于肺结节病的那些胸片图,你都看懂了吗?
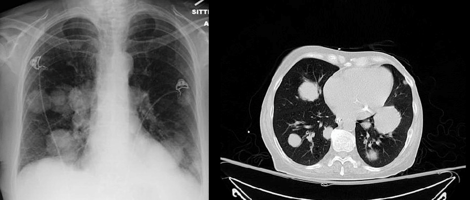
胸片和胸部ct示多发性炮弹样肺结节(图片来自文献[1])
更多推荐
肺癌x光片
肺结节胸片图片
正常肺部胸片
肺部正常胸片影像图片
胸片正常图片结节影
肺结节胸片
胸片图片肺大泡
胸片图片肺气肿
胸片结节影
正常胸片图片图解
正常胸片影像图片
肺结核胸片
乳腺结节图片
胸片图片
胸片正常图片
正常人胸片图片
气胸x线胸片图解
肺部图片真实照片
胸片正常图片女性
胸片肺纹理
胸片肺野的划分
肺癌胸片
肺部图片
胸片肺气肿
正常胸片和异常胸片
肺部结节
健康人的ct胸片图片
肺炎胸片
胸片气胸
气胸胸片