首页
伤感说说
动漫配图
心情说说
抖音文案
伤感图片
伤感说说:
伤感的句子说说心情
空间说说
心情说说
爱情说说
女生伤感说说
人生感悟
心情不好的说说
说说带图片
关于生活的说说
说说心情短语
qq空间说说带图片
个性说说
励志名言
一句话经典语录
感悟人生的经典句子
短句吧
情感故事
抖音文案
伤感图片:
伤感图片带字
非主流伤感图片
唯美伤感图片
女生伤感图片
唯美意境图片
悲伤的图片
唯美意境伤感图片
只有字的伤感图片
说说图片
伤心的图片
美甲图片
图片大全
情感图片
微信头像男
动态壁纸
动漫配图
伤感图片
首页
>
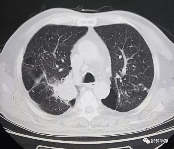
果冻痰是肺癌前兆
果冻痰是肺癌前兆,果冻痰
胸闷,咳少量白痰——肺癌,颅内转移瘤
你们会不会咳出像果冻一样的痰?
半个月前有血丝痰一查竟是肺癌在搞鬼
吐黑痰是肺癌的前兆吗
肺癌的5个不典型前兆,错过了它,肺癌肯定拖到晚期!
更多推荐
果冻痰
排除肺癌咳血图片
吐黑痰
痰里有灰褐色的脏东西
咳出的痰像果冻图片
透明果冻状痰真相
果冻痰图片
果冻样痰图片
正常痰的颜色的图片
咳哪几种痰是肺癌图片
支气管炎的痰液图片
肺癌早期痰液图片
痰图片对应病
果冻痰肺癌前兆颜色
肺癌咳血图片
肺癌的痰液图片
肺癌吐痰带血的图片
果冻痰是怎么回事
痰的颜色与疾病图片
肺癌血痰图片 颜色
肺癌早期痰
肺癌早期痰图片
肺结核咳出来的痰图片
肺癌的早期症状和前兆
果冻样痰
肺癌痰的颜色的图片
肺癌的15个征兆
肺癌的肺
咳嗽咳出果冻胶状痰块
早期肺癌痰中带血图片