首页
伤感说说
动漫配图
心情说说
抖音文案
伤感图片
伤感说说:
伤感的句子说说心情
空间说说
心情说说
爱情说说
女生伤感说说
人生感悟
心情不好的说说
说说带图片
关于生活的说说
说说心情短语
qq空间说说带图片
个性说说
励志名言
一句话经典语录
感悟人生的经典句子
短句吧
情感故事
抖音文案
伤感图片:
伤感图片带字
非主流伤感图片
唯美伤感图片
女生伤感图片
唯美意境图片
悲伤的图片
唯美意境伤感图片
只有字的伤感图片
说说图片
伤心的图片
美甲图片
图片大全
情感图片
微信头像男
动态壁纸
动漫配图
伤感图片
首页
>
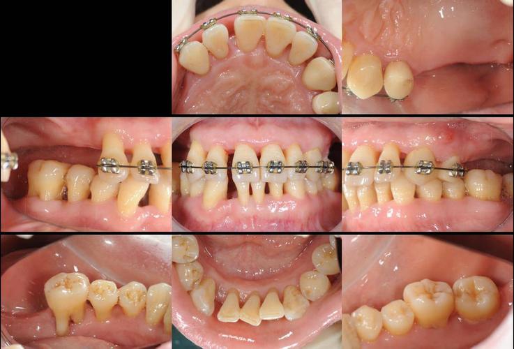
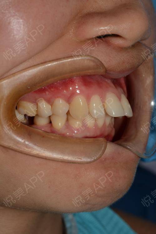
牙齿正畸手术
牙齿正畸手术,牙齿正畸
刘洋医生牙齿矫正|骨性地包天非手术纯正畸_牙齿矫正
牙周手术后3个月,x线片显示21,23近中植骨区有高密度影形成 (3)正畸
矫正手术当天_牙齿矫正手术当天_牙齿美容手术当天_为爱控分享图片2
牙齿矫正手术是现在很多爱美朋友都会选择的牙齿整形美容手术,那么
牙齿矫正手术当天_牙齿美容手术当天_悦mer_5652824661分享图片5
更多推荐
牙齿正畸
牙颌畸形
正颌手术
马种植牙
牙齿手术
朱种植牙
牙齿手术照片
矫正牙齿
拔牙手术
正畸
正常牙齿咬合图
正畸对比
正畸托槽
正畸牙齿后脸型变化图
正畸自锁
牙齿
正畸橡皮圈
正畸钳
正畸平导
正畸蜡
正畸前后对比照
正畸器械
正畸图片
外科正牙手术过程图解
沈刚正畸团队
牙齿贴面
牙齿缺失
正畸带环
儿童牙齿
牙齿结构