首页
伤感说说
动漫配图
心情说说
抖音文案
伤感图片
伤感说说:
伤感的句子说说心情
空间说说
心情说说
爱情说说
女生伤感说说
人生感悟
心情不好的说说
说说带图片
关于生活的说说
说说心情短语
qq空间说说带图片
个性说说
励志名言
一句话经典语录
感悟人生的经典句子
短句吧
情感故事
抖音文案
伤感图片:
伤感图片带字
非主流伤感图片
唯美伤感图片
女生伤感图片
唯美意境图片
悲伤的图片
唯美意境伤感图片
只有字的伤感图片
说说图片
伤心的图片
美甲图片
图片大全
情感图片
微信头像男
动态壁纸
动漫配图
伤感图片
首页
>
正常ct胸片图片
正常ct胸片图片,正常的胸片图和报告
ct,胸片和磁共振,肺结节复查时哪个检查效果既好又
术前胸部ct :左侧液气胸,左肺组织受压膨胀不全
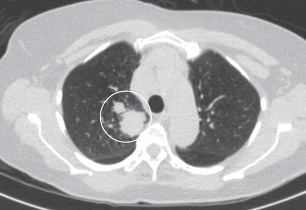
(胸部ct示:右上叶一个4.
胸部平片和 ct 图片来源:ncbi
患者胸部ct示双肺病变(2019年4月29日)
更多推荐
正常的胸片图和报告
ct胸片图片
正常ct胸片图片报告单
肺炎图片ct
ct图片怎样看懂
正常人的肺片子图
正常肺部ct片图片图解
正常ct肺图片大全
正常肺部胸片
肺结核ct片图片图解
正常胸片和异常胸片
正常肺对比肺癌ct图片
正常ct胸片影像图片
正常肺部ct高清图
肺癌ct
正常肺部ct片
健康人的肺部ct图片
肾结石ct图片
健康人的ct胸片图片
肺部ct正常图和异常图
肺部x光片正常图
肺部ct怎么看图解
正常健康肺的ct图片
正常人肺ct片图
肺癌胸片
新手看肺部ct片图解
健康人肺的ct高清图片
正常肺部ct图解
肺部ct图片讲解
健康肺部ct图片