首页
伤感说说
动漫配图
心情说说
抖音文案
伤感图片
伤感说说:
伤感的句子说说心情
空间说说
心情说说
爱情说说
女生伤感说说
人生感悟
心情不好的说说
说说带图片
关于生活的说说
说说心情短语
qq空间说说带图片
个性说说
励志名言
一句话经典语录
感悟人生的经典句子
短句吧
情感故事
抖音文案
伤感图片:
伤感图片带字
非主流伤感图片
唯美伤感图片
女生伤感图片
唯美意境图片
悲伤的图片
唯美意境伤感图片
只有字的伤感图片
说说图片
伤心的图片
美甲图片
图片大全
情感图片
微信头像男
动态壁纸
动漫配图
伤感图片
首页
>
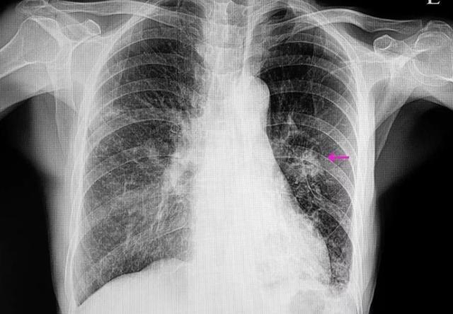
肺部小结节x光
肺部小结节x光,
体检发现肺部结节的人越来越多,胸部ct和胸部x线有什么区别?
而当肺部早期出现肺小结节是不用过于担心的,因为此时肺结节还不能称
当拿到报告时,如果是"发现肺部结节阴影,肿瘤不能除外,建议随访,在这
偶发性肺结节影像诊断方法评估与处置原则
左肺下野结节影,胸片建议ct!
更多推荐
肺部小结节 人人
肺部小结节 清晰