首页
伤感说说
动漫配图
心情说说
抖音文案
伤感图片
伤感说说:
伤感的句子说说心情
空间说说
心情说说
爱情说说
女生伤感说说
人生感悟
心情不好的说说
说说带图片
关于生活的说说
说说心情短语
qq空间说说带图片
个性说说
励志名言
一句话经典语录
感悟人生的经典句子
短句吧
情感故事
抖音文案
伤感图片:
伤感图片带字
非主流伤感图片
唯美伤感图片
女生伤感图片
唯美意境图片
悲伤的图片
唯美意境伤感图片
只有字的伤感图片
说说图片
伤心的图片
美甲图片
图片大全
情感图片
微信头像男
动态壁纸
动漫配图
伤感图片
首页
>
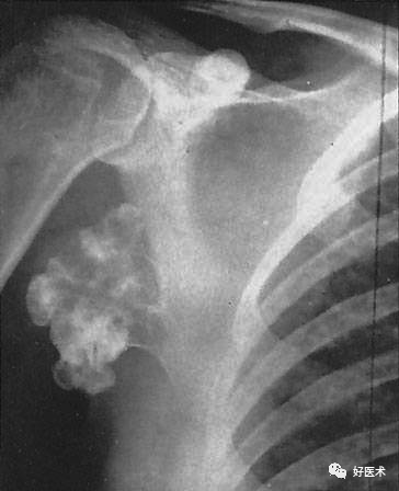
佝偻症
佝偻症,佝偻症患儿
110张经典x线片影像诊断,夜班医生必备纯干货!
专家:4类食物,含钙量比牛奶高,不妨敞开吃_补充_身体_骨骼
小儿麻痹后遗症,呕吐,泄泻,遗尿,哮喘,腹痛,便秘,夜啼,脱肛,佝偻病等
这两个时间段晒晒太阳或有帮助_骨骼_运动_人体
身高定格1米5患维生素d羟化缺陷型佝偻病的男博士想把他走过的弯路说
更多推荐
佝偻症患儿
佝偻病大人照片
佝偻病真人图片
小孩佝偻病
佝偻病的症状
佝偻症婴儿图片
抗维生素D佝偻病
佝偻病患儿
成人佝偻病的表现图片
佝偻病青少年照片
佝偻病鸡胸
佝偻症状图片长大后
佝偻症小儿
佝偻
佝偻病
佝偻虾
佝偻病患者
佝偻着背
佝偻老人
佝偻病小孩
佝偻的意思
佝偻病图片
佝偻病患儿图片
身形佝偻
佝偻怎么读
佝偻的拼音
佝偻的背影
佝偻老人图片