首页
伤感说说
动漫配图
心情说说
抖音文案
伤感图片
伤感说说:
伤感的句子说说心情
空间说说
心情说说
爱情说说
女生伤感说说
人生感悟
心情不好的说说
说说带图片
关于生活的说说
说说心情短语
qq空间说说带图片
个性说说
励志名言
一句话经典语录
感悟人生的经典句子
短句吧
情感故事
抖音文案
伤感图片:
伤感图片带字
非主流伤感图片
唯美伤感图片
女生伤感图片
唯美意境图片
悲伤的图片
唯美意境伤感图片
只有字的伤感图片
说说图片
伤心的图片
美甲图片
图片大全
情感图片
微信头像男
动态壁纸
动漫配图
伤感图片
首页
>
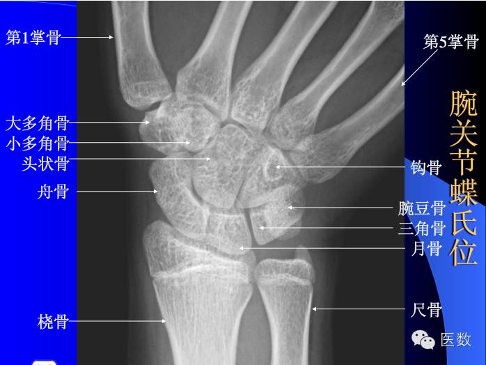
正常手臂骨头x光图片
正常手臂骨头x光图片,正常的肘关节x光图
x线诊断要点丨骨与关节发育畸形上肢
上肢骨关节解剖的x光投影
骨x线读片
老生常谈--桡骨远端骨巨的那点事
五分钟读图 正常骨骼不同体位x光片解读及常见骨折高精图谱
更多推荐
正常的肘关节x光图
正常手肘骨头x光图片
正常右手臂x光图片
正常左胳膊x光片图片
正常胳膊拍片子图片
正常左手臂x光图片
正常人手臂伸直图片
正常人的手骨x光图片
手臂骨折x光图片
手臂拍片正常图片
正常手骨拍片图片
正常锁骨x光图片
胳膊片子正常x光图片
x光全身骨头图片
正常手骨x光图
骨头x光照片正常
手臂x光图片
正常脚踝x光图片
x光全身骨头图片搞笑
正常手臂伸直图片
正常人的脚部x光图片
手臂骨折图片
真实人手臂骨折图片
手腕x光图片
尾骨x光图片
手臂拍片子图片
骨头x光照片
正常人锁骨图片
手掌x光图片
肩膀x光图片