首页
伤感说说
动漫配图
心情说说
抖音文案
伤感图片
伤感说说:
伤感的句子说说心情
空间说说
心情说说
爱情说说
女生伤感说说
人生感悟
心情不好的说说
说说带图片
关于生活的说说
说说心情短语
qq空间说说带图片
个性说说
励志名言
一句话经典语录
感悟人生的经典句子
短句吧
情感故事
抖音文案
伤感图片:
伤感图片带字
非主流伤感图片
唯美伤感图片
女生伤感图片
唯美意境图片
悲伤的图片
唯美意境伤感图片
只有字的伤感图片
说说图片
伤心的图片
美甲图片
图片大全
情感图片
微信头像男
动态壁纸
动漫配图
伤感图片
首页
>
肺癌影像图片
肺癌影像图片,肺癌手掌图
肺癌的影像学鉴别诊断实例:哪些不是肺癌
肺癌临床及影像
中央型肺癌的3大影像学征象
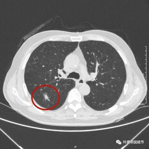
图3 影像学上鉴别肺癌还是很有必要的,某人不体检,万一他之前就有磨
病例分享4年他终于成功将自己由早期肺癌拖成晚期
更多推荐
肺癌手掌图
肺结核影像图片
肺癌影像
消化道穿孔影像图片
正常肺影像图片
气胸影像图片
肺癌晚期ct图片大全
早期肺癌CT图
肺炎胸片影像图片
影像图片大全
肝癌影像图片
癌症图片高清图片
正常肺和肺癌图片
肺癌的影像学表现图片
中央型肺癌影像图片
肺结节影像图片
肺癌症状图片大全
肺癌晚期影像图片
正常肺对比肺癌ct图片
肺癌的15个征兆图片
肺癌影像图片早期
肺癌图片高清图片
肺癌影像图片晚期
肺癌图片
肺癌晚期图片
肺癌ct图片
肺纤维化图片影像
正常胸片影像图片
肝癌ct片图片图解
影像图片