首页
伤感说说
动漫配图
心情说说
抖音文案
伤感图片
伤感说说:
伤感的句子说说心情
空间说说
心情说说
爱情说说
女生伤感说说
人生感悟
心情不好的说说
说说带图片
关于生活的说说
说说心情短语
qq空间说说带图片
个性说说
励志名言
一句话经典语录
感悟人生的经典句子
短句吧
情感故事
抖音文案
伤感图片:
伤感图片带字
非主流伤感图片
唯美伤感图片
女生伤感图片
唯美意境图片
悲伤的图片
唯美意境伤感图片
只有字的伤感图片
说说图片
伤心的图片
美甲图片
图片大全
情感图片
微信头像男
动态壁纸
动漫配图
伤感图片
首页
>
肺癌影像图片早期
肺癌影像图片早期,肺癌影像图片晚期
囊腔样肺癌的影像特征和鉴别诊断
【病例】早期肺癌2例ct影像
肺癌影像诊断讲课
囊腔样肺癌的影像特征和鉴别诊断
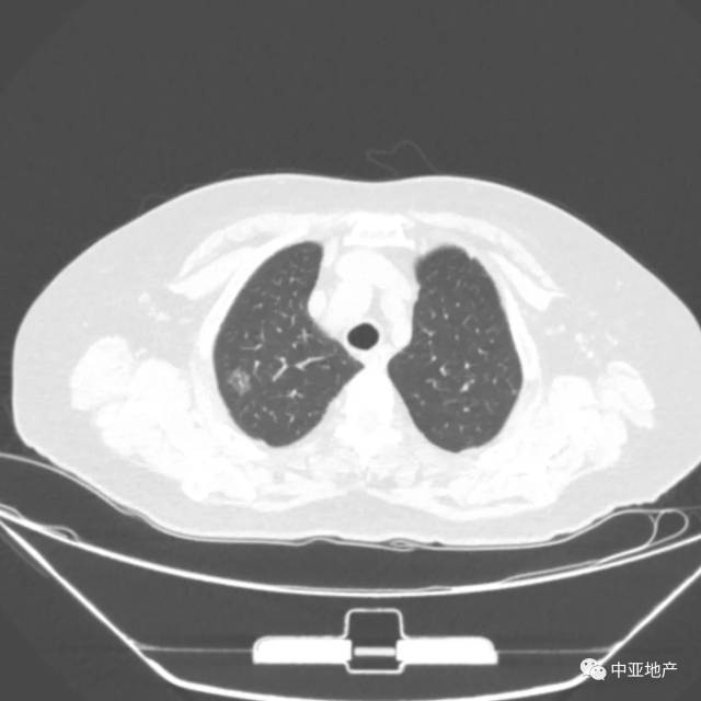
右肺上叶磨玻璃结节,早期肺癌.
更多推荐
肺癌影像图片晚期
肺癌影像图片
肺癌早期痰液图片
肺癌图片高清图片
肝癌影像图片
正常肺和肺癌图片
肺癌早期杵状指图片
肺纤维化图片影像
肺癌晚期图片
早期肺癌痰中带血图片
乳腺癌早期图片
肺癌早期背痛位置图片
肺癌图片
灰指甲图片早期图片
肺癌ct图片
扁桃体癌早期图片
肝癌ct片图片图解
正常胸片影像图片
肺癌早期症状
花斑癣图片早期图片
肺癌早期有三处痛
早期胃癌人拉出屎图片
肺纤维化和正常肺图片
痛风石x线影像图片
早期肺癌肩痛位置图
水痘图片早期
肝癌ct图片
肺癌患者的肺
肺癌的肺
矽肺ct图片