首页
伤感说说
动漫配图
心情说说
抖音文案
伤感图片
伤感说说:
伤感的句子说说心情
空间说说
心情说说
爱情说说
女生伤感说说
人生感悟
心情不好的说说
说说带图片
关于生活的说说
说说心情短语
qq空间说说带图片
个性说说
励志名言
一句话经典语录
感悟人生的经典句子
短句吧
情感故事
抖音文案
伤感图片:
伤感图片带字
非主流伤感图片
唯美伤感图片
女生伤感图片
唯美意境图片
悲伤的图片
唯美意境伤感图片
只有字的伤感图片
说说图片
伤心的图片
美甲图片
图片大全
情感图片
微信头像男
动态壁纸
动漫配图
伤感图片
首页
>
肺肿瘤图片 真实
肺肿瘤图片 真实,肿瘤切开图
胸腔镜下右肺肿瘤楔形切除
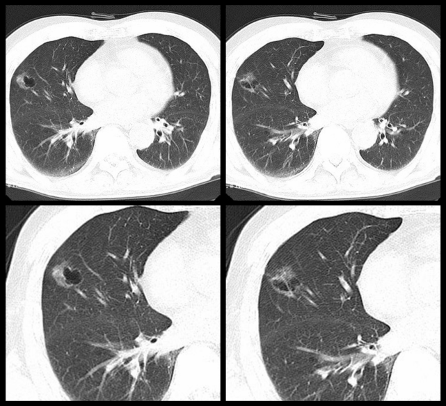
肺结节就是肺癌吗?特征性影像了解一下
肺腺癌
8种肺部良性肿瘤及肿瘤样病变
个肿瘤一次全切除后,分别为 种类型的肺癌
更多推荐
肿瘤切开图
肺癌的15个征兆图片
肺肿瘤和肺癌的图片
肿瘤检查报告单图片
肺癌肿瘤图片
癌症图片高清图片
正常肺和肺癌图片
肺肿瘤ct图片表现
恶性肿瘤图片 切除
肺癌图片与正常肺图片
肺癌晚期真人图片大全
早期肺癌
肺癌肿瘤图片高清图片
肺结节诊断报告图片
肺肿瘤
癌症真实肿瘤图片
肿瘤图片真实
肺门肿瘤图片
肺部肿瘤形状图片大全
火化后肿瘤癌真实图片
癌症恶性肿瘤图片
肿瘤图片
肿瘤的图片
良性与恶性肿瘤图片
肝癌晚期真实图片
扁桃体肿瘤图片
肿瘤图片外观
肿瘤图片初期
肿瘤长什么样图片
皮肤肿瘤的图片