首页
伤感说说
动漫配图
心情说说
抖音文案
伤感图片
伤感说说:
伤感的句子说说心情
空间说说
心情说说
爱情说说
女生伤感说说
人生感悟
心情不好的说说
说说带图片
关于生活的说说
说说心情短语
qq空间说说带图片
个性说说
励志名言
一句话经典语录
感悟人生的经典句子
短句吧
情感故事
抖音文案
伤感图片:
伤感图片带字
非主流伤感图片
唯美伤感图片
女生伤感图片
唯美意境图片
悲伤的图片
唯美意境伤感图片
只有字的伤感图片
说说图片
伤心的图片
美甲图片
图片大全
情感图片
微信头像男
动态壁纸
动漫配图
伤感图片
首页
>
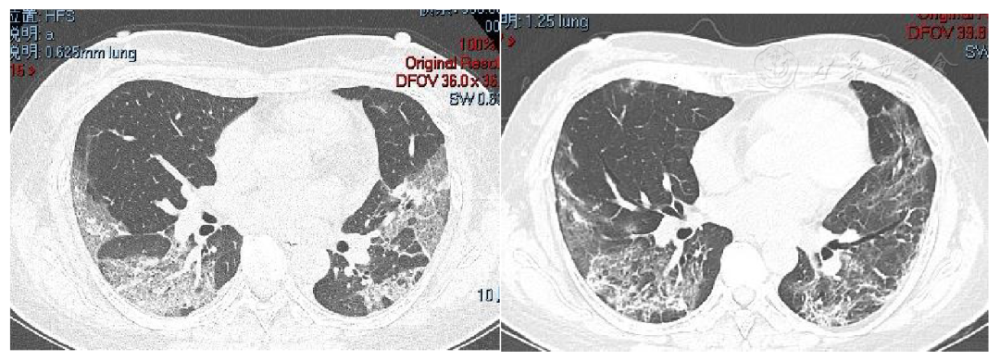
肺纤维化和正常肺图片
肺纤维化和正常肺图片,正常的肺部图片
对于类风湿引起的肺间质纤维化你了解多少
原创注意:间质性肺炎和肺纤维化不一样,可不要傻傻分不清!
干细胞因子和外泌体吸入疗法有望治疗肺纤维化!
新型冠状病毒肺炎炎症后肺纤维化的现状与思考
这份「肺纤维化 肺癌」读片秘籍,请收好
更多推荐
正常的肺部图片
肺纤维化真实图片
正常肺部片子
肺纤维化 肺纤维灶
正常肺部影像图片
有炎症的肺部ct图片
肺纤维化图片
正常人肺部ct报告
肺纤维化图片对比
肺纤维化症状
肺纤维化真实
百草枯肺部纤维化图片
肺纤维化是怎么回事
好肺和肺纤维化图
正常肺对比肺癌ct图片
健康人的肺部ct图片
肺纤维化图片 解剖图
肺纤维化 早期
肺纤维化能活多久
肺纤维化图片晚期
肺纤维化在ct表现图片
肺纤维化图片影像
肺纤维化的ct图片
正常肺部ct高清图
肺部纤维化是什么意思
正常肺
肺纤维化图片早期
肺纤维化片子
肺纤维化的ct报告图片
肺纤维化是什么意思