首页
伤感说说
动漫配图
心情说说
抖音文案
伤感图片
伤感说说:
伤感的句子说说心情
空间说说
心情说说
爱情说说
女生伤感说说
人生感悟
心情不好的说说
说说带图片
关于生活的说说
说说心情短语
qq空间说说带图片
个性说说
励志名言
一句话经典语录
感悟人生的经典句子
短句吧
情感故事
抖音文案
伤感图片:
伤感图片带字
非主流伤感图片
唯美伤感图片
女生伤感图片
唯美意境图片
悲伤的图片
唯美意境伤感图片
只有字的伤感图片
说说图片
伤心的图片
美甲图片
图片大全
情感图片
微信头像男
动态壁纸
动漫配图
伤感图片
首页
>
冠状窦口
冠状窦口,冠状窦和冠状窦口
定位冠状窦: cs 开口
读书报告会——冠状窦口附近旁路消融中冠状动脉解剖
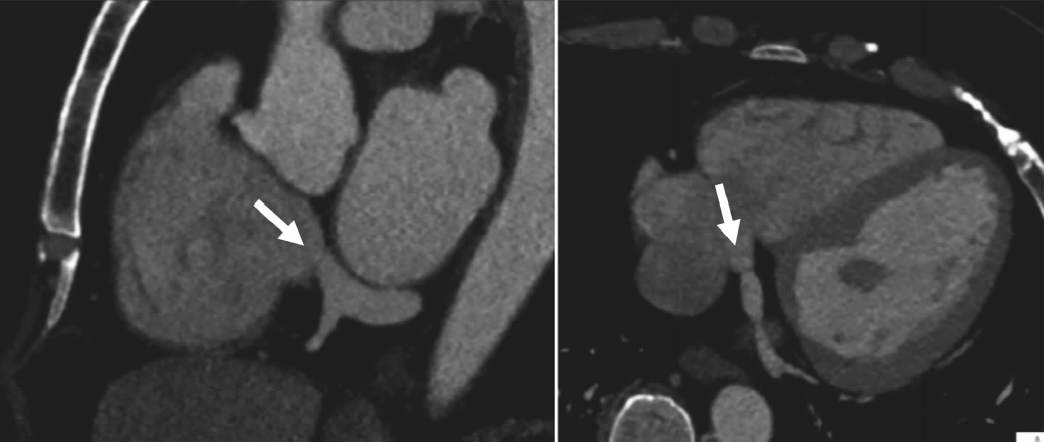
7 冠状窦瓣.图中可见位于冠状窦口的薄瓣膜(箭头).
1 界嵴crista terminalis 2 卵圆窝fossa ovalis 3 冠状窦口orifice
窦口鼻道复合体冠坠观
更多推荐
冠状窦和冠状窦口
冠状窦口位于什么位置
主动脉冠状窦解剖图
冠状动脉窦解剖位置图
冠状窦口图片
冠状窦口解剖图位置
冠状窦口位于
心包斜窦
冠状窦名词解释
冠状静脉窦
左心房窦
冠状窦瓣
冠状动脉窦解剖图
冠状窦
冠状静脉窦解剖图片
左冠状动脉
冠状窦口解剖图
冠状窦口位置图片
右冠状动脉
主动脉窦
冠状动脉窦口解剖图
冠状窦口解剖
心脏冠状窦口
冠状窦电极
冠状口
冠状位矢状
上颌窦窦口
冠状
冠状窦开口位置图
冠状静脉