首页
伤感说说
动漫配图
心情说说
抖音文案
伤感图片
伤感说说:
伤感的句子说说心情
空间说说
心情说说
爱情说说
女生伤感说说
人生感悟
心情不好的说说
说说带图片
关于生活的说说
说说心情短语
qq空间说说带图片
个性说说
励志名言
一句话经典语录
感悟人生的经典句子
短句吧
情感故事
抖音文案
伤感图片:
伤感图片带字
非主流伤感图片
唯美伤感图片
女生伤感图片
唯美意境图片
悲伤的图片
唯美意境伤感图片
只有字的伤感图片
说说图片
伤心的图片
美甲图片
图片大全
情感图片
微信头像男
动态壁纸
动漫配图
伤感图片
首页
>
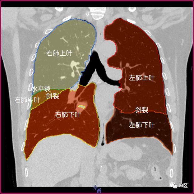
右肺上叶和下叶
右肺上叶和下叶,左肺下叶
左右主支气管刚开始分叉时,此时ct可见上肺的前段,后段,及下肺背段;再
横断位左肺借斜裂成上,下两叶;右肺借斜裂和水平裂成上,中和下叶三叶.
七年级生物下册_第三章_第二节_发生在肺内的气体交换课件_新人教版
ct入门丨肺叶分段ct高清图谱
肺叶段x线解剖
更多推荐
左肺下叶
肺下叶
肺下叶背段
肺下叶位置图
右肺下叶基底段位置图
肺下叶在什么位置图片
叶下白
右下腹部
右肋下
右下腹部疼痛
叶下白草药
叶下白书法
叶下果
右下腹部隐痛的器官
右下腹的位置图
右肋骨下方器官图
书法叶下白是谁
右下腹部隐痛的原因
叶下白图片
右下腹部疼痛位置图
右下腹在哪个位置图片
叶下白的功效与图片